Nang sán dây lợn làm tổ trong não người đàn ông, bác sĩ chỉ rõ nguyên nhân
Xuất hiện triệu chứng nhức đầu nhẹ sau đó bị méo miệng về bên phải, tay và chân phải yếu dần, không cử động được, các cơn động kinh xuất hiện dày hơn. Đi khám người đàn ông được phát hiện nang sán dây lợn cư trú ở não.
Mới đây, Khoa Phẫu thuật thần kinh cột sống, Bệnh viện Hữu nghị đa khoa (HNĐK) Nghệ An tiếp nhận bệnh nhân S.V.Th, 55 tuổi, trú tại Châu Lộc, Quỳ Hợp (Nghệ An), vào viện với tình trạng thất ngôn và không vận động được nửa người bên phải.
Qua khai thác bệnh sử, người nhà bệnh nhân Th. cho biết, bệnh nhân có tiền sử động kinh cách đây 5 năm đang kiểm soát bằng thuốc (Depakin 500mg x 2 viên/ ngày), có thói quen ăn tiết canh lợn .
Cách ngày vào viện 2 tháng, bệnh nhân thường nhức đầu nhẹ sau đó bệnh nhân thấy méo miệng về bên phải, tay và chân phải yếu dần, không cử động được, kèm theo các cơn động kinh xuất hiện dày hơn, không kiểm soát được bằng thuốc.
Bệnh nhân Th được đưa đến khám tại Bệnh Viện đa khoa Tây Bắc (Nghệ An) khám và triều trị nhưng bệnh ngày càng nặng, bệnh nhân được chuyển Bệnh Viện HNĐK Nghệ An cấp cứu, sau đó chuyển vào khoa Phẫu thuật thần kinh cột sống điều trị.

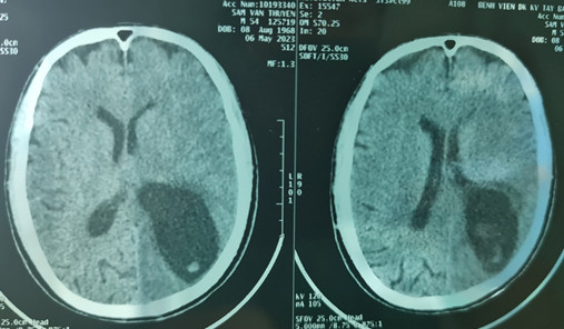
Hình ảnh phim chụp CLVT sọ não bệnh nhân S.V.Th trước khi phẫu thuật
Sau thăm khám, bệnh nhân đã làm các xét nghiệm cần thiết cho kết quả, xét nghiệm phân tìm ký sinh trùng (+), xét nghiệm ELISA chẩn đoán ấu trùng sán lợn Cysticercosis(+), chụp cắt lớp vi tính não cho thấy có nhiều ổ giảm tỷ trọng kèm phù não lớn vùng bán cầu trái.
Dựa vào những kinh nghiệm về chuyên ngành và những dữ liệu có được của y học về các triệu chứng lâm sàng, yếu tố dịch tễ, cận lâm sàng, công thức máu, kết quả chụp CT Scan. Sau hội chẩn, các bác sĩ chẩn đoán bệnh nhân bị Hội chứng tăng áp lực nội sọ do ấu trùng sán dây lợn trên hệ thần kinh, nguy cơ tử vong cao nếu không xử lý kịp thời.
Các bác sĩ Khoa Phẫu thuật thần kinh cột sống đã tiến hành phẫu thuật nội soi lấy bỏ nang sán để giảm áp lực nội sọ nhằm cứu sống bệnh nhân. Đồng thời bệnh nhân được điều trị nội khoa bằng thuốc diệt nang sán là Praziquantel kết hợp với thuốc solumedrol, thuốc chống động kinh và kháng sinh.



Bác sĩ tiến hành phẫu thuật nội soi lấy khối nang ấu trùng sán dây lợn ra khỏi não bệnh nhân S.V.Th.
Ngay sau khi phẫu thuật bệnh nhân có tiến triển rất tốt, bệnh nhân tỉnh, nói được, tay chân bên phải hoạt động linh hoạt, đi lại bình thường, hết méo miệng.
Bảy ngày sau phẫu thuật, bệnh nhân được Bác sĩ cho ra viện. Bệnh nhân đã có thể tự chăm sóc sức khỏe và sinh hoạt bình thường.
"Bệnh sán lợn (Taenia solium) dân gian còn gọi là bệnh sán dây, nhưng từ lâu bệnh ít được quan tâm bởi vì nhiều nguyên nhân: Bệnh thường diễn biến âm thầm, không gây triệu chứng cấp tính như các bệnh nhiễm trùng khác.
Phương tiện chẩn đoán và phương pháp điều trị còn nhiều hạn chế và ít được quan tâm, cho nên các thầy thuốc thường bỏ qua bệnh lý do kí sinh trùng gây ra, đặc biệt khi có các biến chứng nguy hiểm thì Bệnh nhân mới tìm đến sự chăm sóc của y tế, do vậy can thiệp điều trị vào giai đoạn này thường là quá muộn". BS Nguyễn Hồng Việt, Khoa Phẫu thuật thần kinh cột sống, Bệnh viện HNĐK Nghệ An cho biết.

Sau phẫu thuật bệnh nhân S.V.Th. có tiến triển rất tốt, bệnh nhân tỉnh, nói được, tay chân bên phải hoạt động linh hoạt, đi lại bình thường, hết méo miệng. Bảy ngày sau phẫu thuật, bệnh nhân được Bác sĩ cho ra viện
Bệnh sán lợn (Taenia solium) dân gian còn gọi là bệnh sán dây, nhưng từ lâu bệnh ít được quan tâm bởi vì nhiều nguyên nhân: Bệnh thường diễn biến âm thầm, không gây triệu chứng cấp tính như các bệnh nhiễm trùng khác.
Nguyên nhân mắc bệnh sán dây lợn chủ yếu do người dân ăn phở lợn tái; Ăn thịt lợn hun khói, ăn thịt lợn thui chưa được nấu chín; Thói quen ăn tiết canh lợn hoặc gặp ở những bệnh nhân sống trong cộng đồng mà ở đó thường có tập quán nuôi lợn thả rong hay gặp ở các vùng miền núi Nghệ An, các vùng dân tộc thiểu số sinh sống,...
Để phòng ngừa bệnh do sán dây lợn, người dân cần thực hiện các biện pháp sau:
-Thực hiện vệ sinh môi trường, quản lý phân thật tốt (ở nông thôn, miền núi cần có hố xí hợp vệ sinh).
- Cần sử dụng nước sạch để dùng trong sinh hoạt hàng ngày, nhất là ở các vùng nông thôn, miền núi.
- Vệ sinh an toàn thực phẩm là một khâu hết sức quan trọng trong phòng bệnh sán lợn. Cần ăn chín uống chín (nước phải được đun sôi, để nguội, uống).
Tuyệt đối không ăn thịt lợn, các sản phẩm từ thịt lợn chưa nấu chín (tiết canh, nem chua, nem chạo…), đặc biệt tránh xa thịt lợn gạo và không ăn rau sống.

Hi hữu: Người đàn ông 41 tuổi đi cấp cứu vì 'cậu nhỏ' cương đau dữ dội suốt 10 ngày liên tục
Y tế - 32 phút trướcGĐXH - Người bệnh được đưa vào viện trong tình trạng dương vật cương đau dữ dội trong suốt thời gian dài dù không có kích thích tình dục.

Bác sĩ cảnh báo: Thói quen ăn uống tưởng vô hại, ai ngờ mang cả 'đội quân ký sinh trùng' vào cơ thể
Bệnh thường gặp - 1 giờ trướcGĐXH - Thói quen ăn gỏi cá, thịt tái tiềm ẩn nguy cơ nhiễm ký sinh trùng nguy hiểm, tấn công gan, phổi, thậm chí cả não mà ít ai ngờ tới.

Người đàn ông 43 tuổi bị dị ứng nặng, nhập viện gấp do mắc sai lầm này khi dùng thuốc
Sống khỏe - 3 giờ trướcGĐXH - Bệnh nhân bị dị ứng nghiêm trọng cho biết có tiền sử bị gút nên đã tự mua thuốc giảm đau qua một người quen, không rõ nguồn gốc mà không có chỉ định của bác sĩ.

Liều omega-3 nào có thể gây hại cho tim?
Sống khỏe - 5 giờ trướcMặc dù dầu cá chứa omega-3 nổi tiếng là có lợi cho tim mạch nhưng việc sử dụng liều lượng quá cao (thường là ≥4 gam/ngày) có thể dẫn đến các tác dụng phụ bất lợi, bao gồm tăng nguy cơ mắc hoặc tái phát rung nhĩ - một loại rối loạn nhịp tim.

3 thứ tuyệt đối không được dùng chung trong phòng tắm
Sống khỏe - 6 giờ trướcGĐXH - Các chuyên gia cho rằng, các vật dụng vệ sinh cá nhân phổ biến trong phòng tắm như khăn tắm, bàn chải đánh răng hoặc dao cạo râu không nên được sử dụng chung.

Mỡ máu cao – căn bệnh thầm lặng khiến người cao tuổi dễ đột quỵ dù trông vẫn khỏe mạnh
Bệnh thường gặp - 17 giờ trướcGĐXH - Mỡ máu cao đang âm thầm hủy hoại tim và não người cao tuổi, dù vẻ ngoài vẫn khỏe mạnh. Hiểu sớm để giữ trái tim luôn bình yên.

Người phụ nữ 39 tuổi phát hiện ung thư vú và u buồng trứng thừa nhận gia đình từng có 2 người mắc bệnh này
Sống khỏe - 18 giờ trướcGĐXH - Chị Ánh cho biết, gia đình có hai chị gái thì một chị bệnh ung thư vú và một chị ung thư buồng trứng, đã chữa dứt bệnh cách đây ba năm.

Thanh niên 22 tuổi bị viêm tụy cấp thừa nhận một sai lầm nhiều nam giới Việt mắc phải
Sống khỏe - 20 giờ trướcGĐXH - Thanh niên bị viêm tụy cấp nặng hoại tử nhập viện trong tình trạng bụng chướng, đau dữ dội và nôn ói sau nhiều ngày uống rượu liên tục.

Cụ ông loét đầu, chảy mủ do sai lầm nhiều người hay gặp khi chữa zona thần kinh
Y tế - 20 giờ trướcGĐXH - Sau 2 lần đắp lá lên vùng bị zona, bệnh nhân lên cơn co giật, hoảng loạn, co cứng cơ vùng đầu - cổ với nhiều vết loét rộng, chảy mủ.

Thực phẩm người bệnh trào ngược dạ dày nên ăn để làm dịu niêm mạc và giảm axit
Sống khỏe - 23 giờ trướcGĐXH - Bệnh trào ngược dạ dày tuy không nguy hiểm ngay nhưng nếu kéo dài có thể gây viêm loét thực quản, hẹp thực quản hoặc Barrett thực quản.

Thức uống khiến gan 'lao lực' mỗi ngày – bạn có đang vô tình đầu độc chính mình?
Bệnh thường gặpGĐXH - Đằng sau mỗi ly rượu, cốc bia là sự quá tải của gan – cơ quan thải độc đang dần kiệt sức vì thói quen tưởng vô hại.