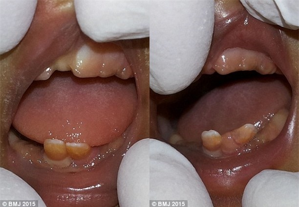
Hai em bé vừa chào đời đã... đầy một miệng răng
Hai bé gái sinh đôi tại Ấn Độ được sinh ra với răng cửa mọc đầy đủ khiến các bác sĩ choáng váng.
Các bác sĩ cho biết hai bé gái song sinh khác trứng được sinh khi 32 tuần tuổi, hơi nhẹ cân và phải ở trong lồng ấp 15 ngày tiên tuy nhiên về tổng thể, hai bé gái hoàn toàn khỏe mạnh.
Người mẹ cũng cho biết, cô không gặp khó khăn gì khi cho con bú. Cho dù cả hai em bé đều đã mọc răng ngay từ khi mới lọt lòng.
Tuy nhiên, vì quá lo lắng khi thấy các bé mọc răng sớm, gia đình đã mời bác sĩ nha khoa đến kiểm tra. Bác sĩ cho biết hàm trên của hai bé đã gần như đủ răng cửa, còn hàm dưới mọc hoàn chỉnh hai chiếc răng. Chúng hơi ngả vàng, khá cứng cáp.
Hiện tượng trên được gọi là “răng sơ sinh”. Thông thường, răng mọc trong vòng 30 ngày đầu tiên sau khi em bé ra đời đều được gọi là “răng sơ sinh”.

“Hiện tượng răng mọc sẵn khi em bé mới ra đời hay mọc ngay sau sinh đều là điều rất hiếm.” – Bác sĩ nha khoa cho biết. Cơ hội để em bé mọc răng ngay khi mới sinh là 1/2.000 hoặc 1/3.500 em.
Răng sơ sinh thường thường phát triển ở hàm dưới, cấu trúc răng chưa hoàn thiện nên dễ lung lay. Thông thường, răng mọc khi trẻ mới sinh có thể gây nguy hiểm vì trẻ dễ ngạt thở. Ngoài ra, răng mới có thể gây tổn thương cho em bé khi bú sữa và khiến người mẹ bị đau.
Tuy nhiên, mẹ của cặp song sinh cho biết cô không hề gặp hiện tượng trên. Ngoài ra, trong miệng của hai bé cũng không có dấu vết bị thương do răng cắn.
Các bác sĩ quyết định sẽ giữ nguyên răng của các bé vì chúng không gây hậu quả nghiêm trọng gì cả. Răng sơ sinh sẽ làm giảm khả năng loại bỏ chồi răng, từ đó tạo điều kiện cho răng sữa phát triển tốt hơn.
Cha mẹ của các em cũng được cảnh báo về nguy cơ bị nghẹn hoặc hình thành áp xe răng. Tuy nhiên, hiện các bé vẫn phát triển bình thường.
Theo Trí Thức Trẻ
Thủy quái dài 9 mét xuất hiện giữa mỏ phốt phát
Tiêu điểm - 4 giờ trướcPluridens imelaki là một loài thủy quái chưa từng được khoa học biết đến, sống vào khoảng 66-67 triệu năm trước.
Nghe tiếng động bất thường dưới nắp xe, người đàn ông mở ra rồi kinh hoàng phát hiện 'bóng đen' dài 3 mét
Chuyện đó đây - 17 giờ trướcChỉ một lần mở nắp xe kiểm tra, người đàn ông đã đối mặt với cảnh tượng khiến nhiều người xung quanh cũng phải giật mình.
NASA kết luận chính thức về vật thể "có thể va chạm Trái Đất năm 2032"
Tiêu điểm - 1 ngày trướcNASA vừa thực hiện những tính toán mới về 2024 YR4, vật thể từng được cảnh báo là có khả năng va chạm Trái Đất hoặc Mặt Trăng vào năm 2032.
Phát hiện báu vật 500.000 tuổi do loài người khác chế tác
Chuyện đó đây - 1 ngày trước"Báu vật bị lãng quên" trong bảo tàng Anh tiết lộ vào 200.000 năm trước khi loài chúng ta ra đời, ở châu Âu đã có một loài người cổ rất thông minh.
Trở về sau 3 năm đi làm xa, người đàn ông tá hỏa vì nhà thành 'tổ chim khổng lồ'
Chuyện đó đây - 1 ngày trướcMột gia chủ người Nga đi làm ăn xa 3 năm, lúc trở về anh ngỡ ngàng khi thấy ngôi nhà của mình bị chim bồ câu chiếm cứ, lý do chỉ vì quên đóng cửa sổ.
Mua bia về uống người đàn ông sốc nặng khi thấy thứ bên trong
Chuyện đó đây - 2 ngày trướcPhát hiện con cá bên trong chai bia, vị khách hàng bị sốc và bối rối, vì chai bia đã được niêm phong trước khi mở.
Phát hiện một loại vật liệu mới có thể thay thế đất hiếm, chi phí rẻ hơn 20.000 lần
Tiêu điểm - 2 ngày trướcĐây là nguyên tố dồi dào trên trái đất và rẻ hơn 20.000 lần so với các kim loại quý như bạch kim và paladi.
Mang cốc vàng đi kiểm tra, người phụ nữ sốc nặng khi biết giá trị
Chuyện đó đây - 3 ngày trướcThật đáng kinh ngạc, sau khi kiểm tra, chiếc cốc có độ tinh khiết vàng đến 99,9%.
Câu chuyện về cặp đôi đã ôm nhau 2.800 năm ở Iran
Chuyện đó đây - 3 ngày trướcKhông ai biết họ là ai, nhưng họ đã trở thành biểu tượng của tình yêu vĩnh hằng.
Phát hiện 3 ngôi sao chuẩn bị hợp nhất
Tiêu điểm - 3 ngày trướcCác nhà khoa học vừa phát hiện ra một hệ 4 ngôi sao phá kỷ lục mang tên TIC 120362137, tồn tại theo mô hình 3+1.
Đào sâu 0,8m, đội công nhân phát hiện hơn 5 kg vàng: Công trường xây dựng lập tức bị phong tỏa
Chuyện đó đâyNgoài vàng, nhiều cổ vật quý hiếm khác cũng được phát hiện, qua đó cung cấp thêm tư liệu quan trọng về đời sống và nghệ thuật thời Đường ở Trung Quốc.