Chuyên gia cảnh báo: Ung thư đại tràng di căn gan- nguy hiểm khi phát hiện từ dấu hiệu phân đen
GĐXH - Một người đàn ông cao tuổi nhập viện vì mệt mỏi kéo dài và đi ngoài phân đen, sau đó được xác định mắc ung thư đại tràng đã di căn gan. Trường hợp này được các chuyên gia cảnh báo là không hiếm gặp, bởi nhiều dấu hiệu ban đầu của bệnh thường mờ nhạt và dễ bị bỏ qua.
Các bệnh lý đường tiêu hóa, đặc biệt là ung thư đại tràng, đang có xu hướng gia tăng và ngày càng trẻ hóa. Điều đáng lo ngại là nhiều trường hợp chỉ được phát hiện khi bệnh đã tiến triển nặng do các dấu hiệu ban đầu thường mờ nhạt, dễ bị bỏ qua.
Một trường hợp bệnh nhân cao tuổi nhập viện trong tình trạng mệt mỏi kéo dài, ăn uống kém và đi ngoài phân đen đã được xác định mắc ung thư đại tràng giai đoạn muộn, kèm tổn thương di căn gan. Các chuyên gia cho rằng đây là dấu hiệu điển hình nhưng dễ bị bỏ qua, khiến nhiều ca bệnh chỉ được phát hiện khi đã tiến triển nặng.
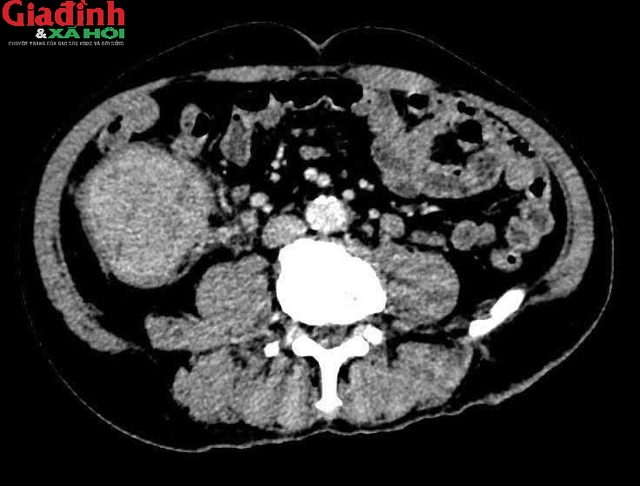
Bệnh nhân T.X.T (73 tuổi) có tiền sử tăng huyết áp, đái tháo đường type II, di chứng liệt nửa người sau tai biến mạch máu não và viêm gan B. Sau khi thăm khám bằng các phương pháp cận lâm sàng như chụp CT, MRI và nội soi dạ dày – đại tràng, các bác sĩ Bệnh viện 19-8 xác định người bệnh bị ung thư đại tràng phải đã di căn sang gan trái.


Các bác sĩ xác định người bệnh bị ung thư đại tràng phải đã di căn sang gan trái.
Sau khi hội chẩn, các bác sĩ đã lựa chọn phương án phẫu thuật đồng thời hai tổn thương trong cùng một lần can thiệp, bao gồm cắt bỏ khối u đại tràng phải và cắt thùy gan trái có tổn thương di căn.
Trao đổi với PV Gia đình & Xã hội, TS.BS Nguyễn Minh Tuấn - Phó Giám đốc Bệnh viện 19-8 Bộ Công an cho biết: "Đây là một trường hợp người bệnh cao tuổi, có nhiều bệnh lý nền và ung thư đã di căn, nên việc điều trị cần được cân nhắc rất kỹ. Phẫu thuật trong trường hợp này nhằm kiểm soát tổn thương, giảm triệu chứng và tạo điều kiện cho các phương pháp điều trị tiếp theo".

TS.BS Nguyễn Minh Tuấn - PGĐ Bệnh viện 19-8 Bộ Công an (phẫu thuật viên chính cho bệnh nhân).
Sau phẫu thuật, bệnh nhân có diễn biến hồi phục ổn định, các chỉ số sinh tồn được kiểm soát, đã có thể ăn uống nhẹ và vận động tại giường.
Theo BS Trần Nhật Linh - Khoa Ngoại tổng hợp cũng chia sẻ:"Nhiều trường hợp ung thư đường tiêu hóa có biểu hiện ban đầu rất kín đáo, người bệnh dễ bỏ qua, dẫn đến khi phát hiện thì bệnh đã ở giai đoạn muộn hơn".

Các bác sĩ trong quá trình tiến hành phẫu thuật cho bệnh nhân.
Các bác sĩ khuyến cáo người dân, đặc biệt là nhóm trung niên và cao tuổi, cần chú ý đến các dấu hiệu bất thường như đi ngoài phân đen, thay đổi thói quen đại tiện, sụt cân không rõ nguyên nhân hoặc tình trạng mệt mỏi kéo dài để đi khám sớm.
Trường hợp trên cho thấy việc phát hiện muộn có thể khiến bệnh tiến triển phức tạp hơn, trong khi chẩn đoán sớm sẽ giúp nâng cao hiệu quả điều trị và cải thiện tiên lượng cho người bệnh.
Người đàn ông Phú Thọ bị tổn thương gan chỉ vì 1 thói quen khi ăn rau
Bệnh thường gặp - 20 giờ trướcNgười đàn ông Phú Thọ không ngờ một thói quen ăn rau của mình lại khiến gan phải lãnh hậu quả.
Chuyên gia cảnh báo: Gan rất 'sợ' món này nhưng nhiều người lại lầm tưởng là 'có nguồn gốc'
Bệnh thường gặp - 2 ngày trướcGĐXH - Không ít người cho rằng chỉ cần thực phẩm có nguồn gốc rõ ràng là có thể yên tâm sử dụng thường xuyên. Tuy nhiên, theo Ths.BS Nguyễn Vũ Bình cho biết, một số loại thực phẩm chế biến sẵn dù đảm bảo vệ sinh và xuất xứ vẫn có thể gây áp lực cho gan nếu tiêu thụ quá nhiều trong thời gian dài.
Chỉ số Axit uric tăng cao: Chuyên gia khuyên nên làm ngay những điều này để tránh gout
Bệnh thường gặp - 2 ngày trướcGĐXH - Nồng độ Axit uric trong máu tăng cao kéo dài có thể làm gia tăng nguy cơ gout, tổn thương khớp và ảnh hưởng chức năng thận. Theo bác sĩ, bên cạnh thuốc điều trị, việc thay đổi chế độ dinh dưỡng và duy trì lối sống khoa học là yếu tố quan trọng giúp hỗ trợ kiểm soát Axit uric hiệu quả hơn.
Lòng lợn đang được 'minh oan' trên mạng xã hội, nhưng sự thật phía sau không đơn giản như nhiều người nghĩ
Bệnh thường gặp - 4 ngày trướcGĐXH - Nhiều người cho rằng lòng lợn “ít hại” hơn mỡ hay móng giò vì ít chất béo hơn. Tuy nhiên, theo TS Lê Thị Hương Giang, nội tạng động vật vẫn tiềm ẩn nhiều nguy cơ về tim mạch, gout và tồn dư độc chất nếu ăn thường xuyên.
Bác sĩ cảnh báo 6 dấu hiệu ung thư xương giai đoạn đầu mà nhiều người vẫn nghĩ là thiếu canxi
Bệnh thường gặp - 4 ngày trướcGĐXH - Nhiều người cho rằng đau nhức xương, mỏi cơ hay chuột rút là dấu hiệu thiếu canxi nên tự ý bổ sung tại nhà trong thời gian dài. Tuy nhiên, theo ThS.BS Nguyễn Vũ Bình – Giảng viên Đại học Y Hà Nội, có những trường hợp đau xương thực chất là dấu hiệu sớm của ung thư xương và việc nhầm lẫn có thể khiến người bệnh bỏ lỡ “giai đoạn vàng” trong điều trị.
Vì sao uống thuốc mỡ máu một thời gian rồi vẫn tái phát? Bác sĩ chỉ ra nguyên nhân ít ai ngờ tới
Bệnh thường gặp - 5 ngày trướcGĐXH - Nhiều người bị rối loạn mỡ máu thường có tâm lý uống thuốc đến khi chỉ số ổn định thì tự ý ngưng điều trị. Tuy nhiên, theo ThS.BS Nguyễn Vũ Bình (Giảng viên Đại học Y Hà Nội), việc mỡ máu tăng trở lại sau khi ngừng thuốc là tình trạng rất phổ biến nếu người bệnh không thay đổi được nguyên nhân gốc rễ liên quan đến dinh dưỡng và chuyển hóa.
6 nhóm thực phẩm giúp gan 'dễ thở', cơ thể nhẹ nhõm hơn mỗi ngày
Sống khỏe - 1 tuần trướcGĐXH - Gan quá tải có thể khiến cơ thể nhanh mệt mỏi, da xỉn màu và làm tăng nguy cơ gan nhiễm mỡ. Theo ThS.BS Nguyễn Vũ Bình, 6 nhóm thực phẩm quen thuộc dưới đây có thể giúp hỗ trợ chức năng gan, giảm viêm và tăng cường sức khỏe nếu bổ sung đúng cách mỗi ngày.
Ướp thịt qua đêm tưởng vô hại, chuyên gia cảnh báo sai lầm khiến nguy cơ ngộ độc tăng cao
Bệnh thường gặp - 1 tuần trướcGĐXH - Ướp thịt qua đêm giúp món ăn đậm vị và tiết kiệm thời gian chế biến, nhưng nếu bảo quản sai cách có thể làm tăng nguy cơ ngộ độc thực phẩm. Theo TS Lê Thị Hương Giang, điều quan trọng không nằm ở việc có nên ướp thịt qua đêm hay không mà là cách bảo quản và chế biến thực phẩm sau đó.
Chỉ 7 bài plank này nhưng có thể 'đánh bay' mỡ toàn thân: ai tập đúng mới thấy hiệu quả thật sự!
Bệnh thường gặp - 1 tuần trướcGĐXH - Plank không chỉ giúp siết cơ bụng mà còn hỗ trợ đốt mỡ toàn thân hiệu quả. Chỉ với 7 biến thể đơn giản tại nhà, bạn có thể cải thiện vóc dáng rõ rệt nếu tập đúng cách và kiên trì.
Loại quả 'gây nghiện' mùa hè nhưng chuyên gia cảnh báo 4 kiểu người này nên hạn chế ăn
Bệnh thường gặp - 1 tuần trướcGĐXH - Sầu riêng là loại trái cây được nhiều người yêu thích nhờ hương vị béo ngậy và hàm lượng dinh dưỡng cao. Tuy nhiên, theo các chuyên gia dinh dưỡng, loại quả này chứa lượng năng lượng và đường khá lớn nên không phù hợp với tất cả mọi người, đặc biệt là những người đang có bệnh lý nền liên quan chuyển hóa và tim mạch.
Bác sĩ cảnh báo 6 dấu hiệu ung thư xương giai đoạn đầu mà nhiều người vẫn nghĩ là thiếu canxi
Bệnh thường gặpGĐXH - Nhiều người cho rằng đau nhức xương, mỏi cơ hay chuột rút là dấu hiệu thiếu canxi nên tự ý bổ sung tại nhà trong thời gian dài. Tuy nhiên, theo ThS.BS Nguyễn Vũ Bình – Giảng viên Đại học Y Hà Nội, có những trường hợp đau xương thực chất là dấu hiệu sớm của ung thư xương và việc nhầm lẫn có thể khiến người bệnh bỏ lỡ “giai đoạn vàng” trong điều trị.
