
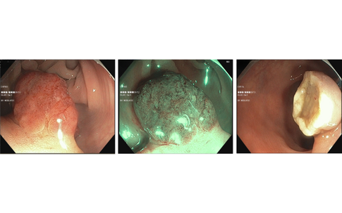
Bệnh nhân 52 tuổi thoát khỏi ung thư đại tràng từ dấu hiệu nhiều người Việt bỏ qua
Bệnh thường gặpGĐXH - Lo lắng vì đại tiện lẫn máu, người đàn ông đi khám thì phát hiện mắc u tuyến ống, loạn sản độ cao - tổn thương tiền ung thư đại tràng.

Bác sĩ cảnh báo: Thói quen ăn uống tưởng vô hại, ai ngờ mang cả 'đội quân ký sinh trùng' vào cơ thể
Bệnh thường gặpGĐXH - Thói quen ăn gỏi cá, thịt tái tiềm ẩn nguy cơ nhiễm ký sinh trùng nguy hiểm, tấn công gan, phổi, thậm chí cả não mà ít ai ngờ tới.

Mỡ máu cao – căn bệnh thầm lặng khiến người cao tuổi dễ đột quỵ dù trông vẫn khỏe mạnh
Bệnh thường gặpGĐXH - Mỡ máu cao đang âm thầm hủy hoại tim và não người cao tuổi, dù vẻ ngoài vẫn khỏe mạnh. Hiểu sớm để giữ trái tim luôn bình yên.

Thức uống khiến gan 'lao lực' mỗi ngày – bạn có đang vô tình đầu độc chính mình?
Bệnh thường gặpGĐXH - Đằng sau mỗi ly rượu, cốc bia là sự quá tải của gan – cơ quan thải độc đang dần kiệt sức vì thói quen tưởng vô hại.

Người cao tuổi thường xuyên đau nhức, mất ngủ? Cơ thể đang ‘kêu cứu’ vì thiếu loại vitamin này
Bệnh thường gặpGĐXH - Chuyên gia khuyến cáo: Người cao tuổi nên bổ sung vitamin D đúng cách để xương chắc khỏe, tăng miễn dịch và phòng ngừa loãng xương hiệu quả.

Não bộ đang 'kêu than' vì thiếu vitamin D? 5 món 'vũ khí' giúp bạn nhớ lâu hơn
Bệnh thường gặpGĐXH - Thiếu vitamin D có thể khiến bạn hay quên, lơ đãng. 5 loại thực phẩm dưới đây chính là 'liều thuốc tự nhiên' giúp não khỏe, trí nhớ nhạy bén hơn.

Bác sĩ cảnh báo: 80% ca huyết khối tĩnh mạch sâu không có triệu chứng, phát hiện thì đã quá muộn
Bệnh thường gặpGĐXH - Căn bệnh tưởng xa mà gần: Huyết khối tĩnh mạch sâu đang ngày càng phổ biến ở dân văn phòng – những người phải ngồi lâu, ít vận động.

Thực đơn trứng cho bữa sáng: Ăn trứng bao nhiêu, ăn như thế nào là tốt nhất?
Bệnh thường gặpGĐXH - Chuyên gia dinh dưỡng khuyến cáo người trưởng thành khỏe mạnh nên giới hạn tiêu thụ không quá 1 quả trứng mỗi ngày, nhất là với người có nguy cơ tim mạch cao.

Cách cải thiện sức khỏe của gan
Sống khỏeGĐXH - Mỗi người có thể chủ động bảo vệ gan khỏe mạnh thông qua các biện pháp xây dựng lối sống, chế độ dinh dưỡng và sinh hoạt lành mạnh.

Người đàn ông 54 tuổi phát hiện ung thư đại tràng trong lúc đi du lịch, thừa nhân có thói quen xấu này!
Bệnh thường gặpGĐXH - Ông Philippe phát hiện ung thư trực tràng từ biểu hiện rối loạn tiêu hóa khi đang du lịch ở Việt Nam. Ông thừa nhận có tiền sử hút thuốc lá nhiều năm, từng sụt 7 kg không rõ nguyên nhân.

Người phụ nữ bị thủng tử cung từ dấu hiệu nhiều người Việt bỏ qua
Bệnh thường gặpGĐXH - Người phụ nữ bị viêm phúc mạc do thủng tử cung nhập viện trong tình trạng đau bụng 1 tuần, táo bón, tiếp xúc chậm...

Bất ngờ 5 nhóm người này được khuyến cáo không nên ăn rau mồng tơi
Bệnh thường gặpGĐXH - Người bị sỏi thận, người đau dạ dày, người đang bị tiêu chảy, mới lấy cao răng... cần hạn chế ăn rau mồng tơi

Viêm tuỵ cấp – bệnh nguy hiểm bất ngờ, bạn đã biết cách phòng tránh chưa?
Bệnh thường gặpGĐXH - Viêm tuỵ cấp dễ nhầm lẫn với đau bụng thông thường. Biết được dấu hiệu sớm sẽ giúp bạn phòng tránh rủi ro nghiêm trọng.

Người đàn ông 35 tuổi phát hiện suýt vỡ gan từ dấu hiệu nhiều người Việt mắc phải
Bệnh thường gặpGĐXH - Bệnh nhân nhập viện vì đau bụng, bác sĩ phát hiện khối u gan trái chảy máu trong bao gan, có thể vỡ bất cứ lúc nào.

Người huyết áp cao chạy bộ: Lợi hay hại? Bác sĩ chỉ rõ giới hạn an toàn cần biết
Bệnh thường gặpGĐXH - Nhiều người lo ngại chạy bộ có thể khiến huyết áp tăng cao. Thực tế, nếu tập đúng cách, chạy bộ lại là 'liều thuốc' vàng cho người cao huyết áp.

Người đàn ông 43 tuổi bị biến chứng bệnh gout nặng, thừa nhận 1 sai lầm nhiều người Việt mắc phải
Bệnh thường gặpGĐXH - Người đàn ông bị biến chứng bệnh gout nặng, nổi hạt tophi khắp tứ chi, biến dạng cấu trúc giải phẫu... do chủ quan, tự ý điều trị tại nhà mà không tuân theo chỉ định của bác sĩ.

Người đàn ông 59 tuổi phát hiện sa trực tràng có dấu hiệu điển hình này!
Bệnh thường gặpGĐXH - Nhiều tháng nay bệnh nhân có khối sa vùng hậu môn ngày càng to, chảy dịch kèm đại tiện khó khăn, phải dùng tay đẩy khối sa trở lại.

Có mắc bệnh tiểu đường hay không, nhìn cách uống nước là biết?: Bạn có bao nhiêu triệu chứng giống như này?
Bệnh thường gặpGĐXH - Tiểu đường là một căn bệnh thường không có triệu chứng rõ ràng ở giai đoạn đầu. Nhiều người chỉ được chẩn đoán khi khám sức khỏe hoặc khi xuất hiện một số triệu chứng bất thường.

Nướu răng khỏe mạnh không khó: 1 thay đổi nhỏ trong bữa ăn, hiệu quả bất ngờ
Bệnh thường gặpGĐXH - Nướu răng dễ chảy máu, sưng viêm có thể là dấu hiệu cơ thể đang “kêu cứu”. Ăn uống thông minh mỗi ngày giúp bạn phục hồi nướu và giữ nụ cười khỏe mạnh.

6 loại nước uống rẻ tiền giúp thải độc gan, tốt cho người bệnh gan nhiễm mỡ
Bệnh thường gặpGĐXH - Với bệnh gan nhiễm mỡ, ngoài việc duy trì các thói quen sống lành mạnh, người bệnh có thể bổ sung các loại đồ uống giúp thải độc, giảm mỡ gan, giúp giảm gánh nặng cho bộ phận này.

Ăn gì để đủ kẽm? Top thực phẩm giàu kẽm khiến cơ thể tràn đầy năng lượng mỗi ngày
Bệnh thường gặpGĐXH - Kẽm là khoáng chất quan trọng giúp cơ thể khỏe mạnh, tăng sức đề kháng và năng lượng. Khám phá ngay những thực phẩm giàu kẽm nên bổ sung hàng ngày.

Đừng bỏ qua cơn đau thắt ngực: Điểm mặt 3 thói quen tưởng vô hại hằng ngày đang âm thầm gây hại tim
Bệnh thường gặpGĐXH - Cơ thể sẽ không đột ngột "đình công", trước khi cơn đau thắt ngực xảy ra. Nhiều người không biết rằng, một số thói quen tưởng chừng vô hại hằng ngày đang âm thầm làm tổn thương tim, đẩy nhanh cơn đau thắt ngực.

Người bị mỡ máu cao đừng vội kiêng khem cực đoan: Ăn đúng cách, chỉ số sẽ tự 'ngoan ngoãn' ổn định
Bệnh thường gặpGĐXH - Mỡ máu cao không chỉ do ăn uống thiếu kiểm soát. Duy trì chế độ ăn khoa học, thông minh sẽ giúp cân bằng mỡ máu và bảo vệ sức khỏe tim mạch.

Xoa bóp bấm huyệt giúp giảm đau nhức xương khớp
Bệnh thường gặpXoa bóp bấm huyệt không chỉ giúp thư giãn, mà còn tác động sâu vào kinh lạc, khai thông khí huyết, giảm đau nhức xương khớp và hỗ trợ vận động.

Phát hiện viêm cơ tim sau khi tự uống thuốc chữa viêm đường hô hấp
Bệnh thường gặpGĐXH - Trước 1 ngày nhập viện, bệnh nhân có biểu hiện đau ngực trái từng cơn khi gắng sức, mỗi cơn kéo dài khoảng 10 giây kèm khó thở.

7 nguyên tắc xây dựng bữa ăn cho người bệnh đái tháo đường
Bệnh thường gặpTrong bữa ăn của người bệnh đái tháo đường, việc lựa chọn thực phẩm, cách ăn và thứ tự ăn uống rất quan trọng. Dưới đây là các nguyên tắc đơn giản mà người bệnh có thể áp dụng để tránh làm tăng đường huyết sau ăn.

4 dấu hiệu báo động cơ thể có cục máu đông khi đi bộ
Bệnh thường gặpGĐXH - Có thể bạn chưa bao giờ nghĩ rằng một việc đơn giản như đi bộ lại có thể liên quan đến nguy cơ hình thành cục máu đông. Điều đó nghe có vẻ khó tin phải không?

Người đàn ông 60 tuổi phát hiện ung thư phổi từ dấu hiệu nhiều người Việt mắc phải
Bệnh thường gặpGĐXH - Người bệnh ung thư phổi trước đó có biểu hiện ho kéo dài, khạc đờm, đau ngực trái âm ỉ...

6 thực phẩm khiến Eczema ‘nổi loạn’ – tưởng vô hại mà hại không tưởng!
Bệnh thường gặpGĐXH - Eczema không chỉ do cơ địa mà còn đến từ bàn ăn. 6 thực phẩm quen thuộc này có thể khiến da bạn ngứa ngáy không dứt.