Đi khám xương khớp nghĩ bệnh tuổi trung niên, người phụ nữ 52 tuổi bất ngờ phát hiện tiền ung thư cổ tử cung
GĐXH - Đang ở độ tuổi được khuyến cáo tầm soát ung thư cổ tử cung, người bệnh được bác sĩ khuyến nghị thực hiện xét nghiệm HPV. Kết quả cho thấy dương tính với HPV type 1
Phát hiện tiền ung thư cổ tử cung dù không có biểu hiện bất thường
Chị L.H.D (52 tuổi) đến PKĐK Medlatec khám vì đau cột sống thắt lưng. Tại đây, kết quả thăm khám cho thấy cơn đau lưng xuất phát từ tình trạng thoái hóa cột sống – bệnh lý thường gặp ở người trung niên.
Do chị D. đang ở độ tuổi được khuyến cáo tầm soát ung thư cổ tử cung, bác sĩ đã khuyến nghị thực hiện xét nghiệm HPV. Kết quả cho thấy dương tính với HPV type 18.

Ảnh minh họa.
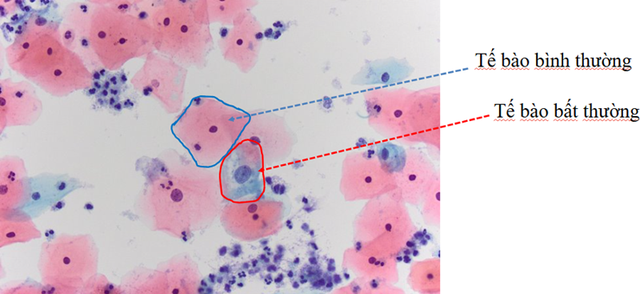
Xét nghiệm tế bào học cổ tử cung bằng phương pháp tế bào học dịch lỏng LiquiPrep (ThinPrep) ghi nhận kết quả ASC-US (tế bào vảy không điển hình, ý nghĩa chưa xác định).
Để đánh giá nguy cơ tổn thương nội biểu mô vảy mức độ cao (HSIL), bệnh nhân được khuyến nghị làm thêm xét nghiệm CINtec Plus, kết quả dương tính (phát hiện tế bào đồng biểu hiện p16/Ki-67).
Soi cổ tử cung – âm đạo ghi nhận hình ảnh tăng sinh mạch cổ tử cung, vết trắng tại vị trí 2 giờ và 10 giờ.
Kết quả mô bệnh học sau sinh thiết xác định: Loạn sản biểu mô vảy độ cao (HSIL - CIN 3).
Dựa trên các kết quả cận lâm sàng, bệnh nhân được chẩn đoán loạn sản biểu mô vảy độ cao (HSIL - CIN 3). Chị D. được chỉ định phẫu thuật khoét chóp cổ tử cung.
Sau phẫu thuật, tiên lượng tốt do tổn thương được phát hiện sớm, chưa ghi nhận xâm nhập và diện cắt không còn tế bào bất thường.
Nguyên nhân dẫn đến 99% trường hợp ung thư cổ tử cung

Ảnh minh họa.
Thống kê năm 2022 của Tổ chức Y tế Thế giới (WHO) ghi nhận, toàn cầu có 662.301 ca mắc ung thư cổ tử cung mới và 348.874 trường hợp tử vong. Tại Việt Nam, 4.612 phụ nữ được chẩn đoán mắc bệnh và hơn 2.571 trường hợp tử vong.
Theo BS. Võ Thành Lai – Trung tâm Giải phẫu bệnh của bệnh viện, "thủ phạm" đằng sau những con số đáng báo động này chính là virus HPV - nguyên nhân dẫn đến 99% trường hợp ung thư cổ tử cung.
Phần lớn phụ nữ nhiễm HPV có thể tự khỏi nhờ hệ miễn dịch, nhưng nếu virus tồn tại lâu dài, đặc biệt là chủng nguy cơ cao (16, 18, 31, 33, 35, 39, 45, 51, 52, 56, 58 và 59), sẽ gây biến đổi tế bào vùng cổ tử cung, hình thành tổn thương tiền ung thư (CIN) và tiến triển thành ung thư xâm nhập theo thời gian.
Bác sĩ Lai cho biết, phát hiện sớm là yếu tố quyết định tiên lượng bệnh.
Phụ nữ cần làm gì để ngừa ung thư cổ tử cung?
Bác sĩ Lai khuyến cáo, để giảm thiểu nguy cơ mắc các bệnh lý do HPV gây ra, việc thực hiện các biện pháp phòng ngừa dưới đây là rất quan trọng:

Ảnh minh họa.
- Tiêm phòng vaccine HPV;
- Quan hệ tình dục an toàn;
- Xét nghiệm định kỳ HPV giúp tầm soát sớm ung thư cổ tử cung.
Ngoài ra, nếu xuất hiện dấu hiệu như: âm đạo ra khí hư bất thường; chảy máu sau quan hệ; đau vùng chậu... chị em cần đến ngay các cơ sở y tế uy tín để được thăm khám, chẩn đoán, điều trị kịp thời.
4 loại viêm âm đạo thường gặp trong thai kỳ và cách xử lý
Dân số và phát triển - 20 giờ trướcViêm âm đạo có thể xảy ra trong thai kỳ và thường được điều trị bằng các biện pháp như thuốc kháng sinh hoặc kem chống nấm. Dưới đây là 4 loại nhiễm trùng âm đạo phổ biến khi mang thai cần lưu ý.
Quảng Ninh triển khai giải pháp đồng bộ, nâng cao chất lượng dân số
Dân số và phát triển - 1 ngày trướcGĐXH - Để hoàn thành các mục tiêu dân số trong năm 2025, Quảng Ninh đã triển khai nhiều giải pháp từ cấp tỉnh tới cơ sở; trong đó chú trọng công tác tuyên truyền về mất cân bằng giới tính, phổ biến pháp luật, giáo dục kỹ năng sống… Qua đó, nâng cao chất lượng dân số, thích ứng với già hóa dân số và phát triển bền vững trong những năm tiếp theo.
Thai phụ vỡ khối u thận nguy kịch may mắn được cứu sống
Dân số và phát triển - 1 ngày trướcGĐXH - Thai phụ nhập viện trong tình trạng đau bụng, chóng mặt, tụt huyết áp. Các bác sĩ phát hiện khối máu chảy xuất phát từ vị trí khối u 1/3 dưới thận trái bị vỡ, gây mất máu cấp.
Tháng hành động quốc gia về Dân số năm 2025 ở Quảng Ninh: Thực hiện hiệu quả chính sách dân số trong tình hình mới
Dân số và phát triển - 1 ngày trướcGĐXH - Hưởng ứng Tháng hành động quốc gia về Dân số và kỷ niệm Ngày Dân số Việt Nam (26/12), Trạm Y tế xã Đường Hoa (Quảng Ninh) tổ chức Hội nghị truyền thông về công tác dân số, qua đó góp phần nâng cao nhận thức, trách nhiệm của các cấp, các ngành và người dân trong việc thực hiện hiệu quả chính sách dân số trong tình hình mới.
Vi khuẩn 'sát thủ' sống 1 năm ở âm 20°C trong tủ lạnh, bỏ ngay cách bảo quản sai
Dân số và phát triển - 2 ngày trướcNguy cơ nhiễm khuẩn từ thói quen bảo quản thực phẩm sai cách trong tủ lạnh đang khiến nhiều gia đình đối mặt rối loạn tiêu hóa, ngộ độc và các biến chứng nặng.
Đi tìm biện pháp tránh thai hiện đại phù hợp với nàng
Dân số và phát triển - 3 ngày trướcViệc chọn đúng biện pháp tránh thai không chỉ giúp tránh được tình trạng mang thai ngoài ý muốn, mà còn đảm bảo sức khỏe cho các bạn nữ. Tuy nhiên, giữa vô vàn biện pháp tránh thai hiện đại, đâu sẽ là lựa chọn phù hợp với nàng? Hãy cùng tìm hiểu ngay tại bài viết bên dưới nhé!
Giáo sư Nhật chỉ mặt 10 món ăn người Việt “nghiện” mỗi ngày đang âm thầm "phá thận"
Dân số và phát triển - 3 ngày trướcGS Masahiro Kozuki, chuyên gia thận học hàng đầu Nhật Bản mới đây đã chia sẻ “danh sách đen” 10 thực phẩm gây hại thận mà nhiều người mê ăn hàng ngày.
Hà Nội phát động hưởng ứng Tháng hành động quốc gia về Dân số và kỷ niệm Ngày Dân số Việt Nam 26/12
Dân số và phát triển - 3 ngày trướcGĐXH - Sáng 10/12, Sở Y tế Hà Nội tổ chức Lễ phát động Tháng hành động quốc gia về Dân số và kỷ niệm Ngày Dân số Việt Nam (26/12), với chủ đề “Đầu tư cho công tác dân số là đầu tư cho phát triển bền vững”.
ĐBQH bấm nút thông qua Luật Dân số: Chuyển trọng tâm chính sách dân số từ kế hoạch hóa gia đình sang dân số và phát triển
Dân số và phát triển - 3 ngày trướcGĐXH - Bộ trưởng Đào Hồng Lan nhấn mạnh, dự án Luật Dân số đánh dấu sự thay đổi căn bản, chuyển trọng tâm chính sách dân số từ kế hoạch hóa gia đình sang dân số và phát triển.
Loại thuốc phổ biến nếu dùng dài ngày có thể gây thiếu hụt dinh dưỡng và tăng nguy cơ loãng xương
Dân số và phát triển - 5 ngày trướcThuốc ức chế bơm proton (PPI) được dùng rộng rãi để giảm ợ nóng và acid dạ dày. Tuy nhiên, việc lạm dụng kéo dài có thể dẫn đến thiếu vitamin B12, hạ magiê và tăng nguy cơ loãng xương, gãy xương – đặc biệt ở người cao tuổi.
Giao lưu trực tuyến: Chăm sóc sức khỏe sinh sản vị thành niên, thanh niên và tầm quan trọng của tư vấn khám sức khỏe trước khi kết hôn
Dân số và phát triểnGĐXH - Theo các chuyên gia, sức khỏe sinh sản của vị thành niên, thanh niên được coi là một trong những yếu tố quan trọng có ý nghĩa quyết định đến chất lượng dân số, chất lượng nguồn nhân lực và tương lai của giống nòi.

