Hà Nội
23°C / 22-25°C

Nữ bệnh nhân đột quỵ bác sĩ chỉ ra nguyên nhân bất ngờ

Thứ hai, 15:16 29/12/2025 | Sống khỏe

Người phụ nữ 42 tuổi, đã có hai con trai sinh thường, bất ngờ nhập viện trong tình trạng nói đớ và được chẩn đoán nhồi máu não chỉ vài ngày sau khi tiêm thuốc kích thích buồng trứng trong quy trình thụ tinh trong ống nghiệm.

Ngày 28/12, PGS.TS.BS Nguyễn Huy Thắng, Trưởng khoa Bệnh lý Mạch máu Não, Bệnh viện Nhân Dân 115 TP.HCM cho biết, nơi đây vừa tiếp nhận một bệnh nhân nữ 42 tuổi nhập viện vì nói đớ. Theo thông tin từ gia đình, trước đó người bệnh hoàn toàn khỏe mạnh, không ghi nhận bất kỳ yếu tố nguy cơ đột quỵ nào như tăng huyết áp, đái tháo đường, rối loạn mỡ máu hay bệnh tim mạch.

Theo khai thác bệnh sử, dù đã có hai con trai sinh thường, người phụ nữ này vẫn mong muốn sinh thêm con và quyết định thực hiện phương pháp thụ tinh trong ống nghiệm (IVF) tại một phòng khám sản khoa. Người bệnh không thuộc nhóm hiếm muộn hay vô sinh, song vẫn được chỉ định sử dụng thuốc kích thích buồng trứng trong quy trình IVF.

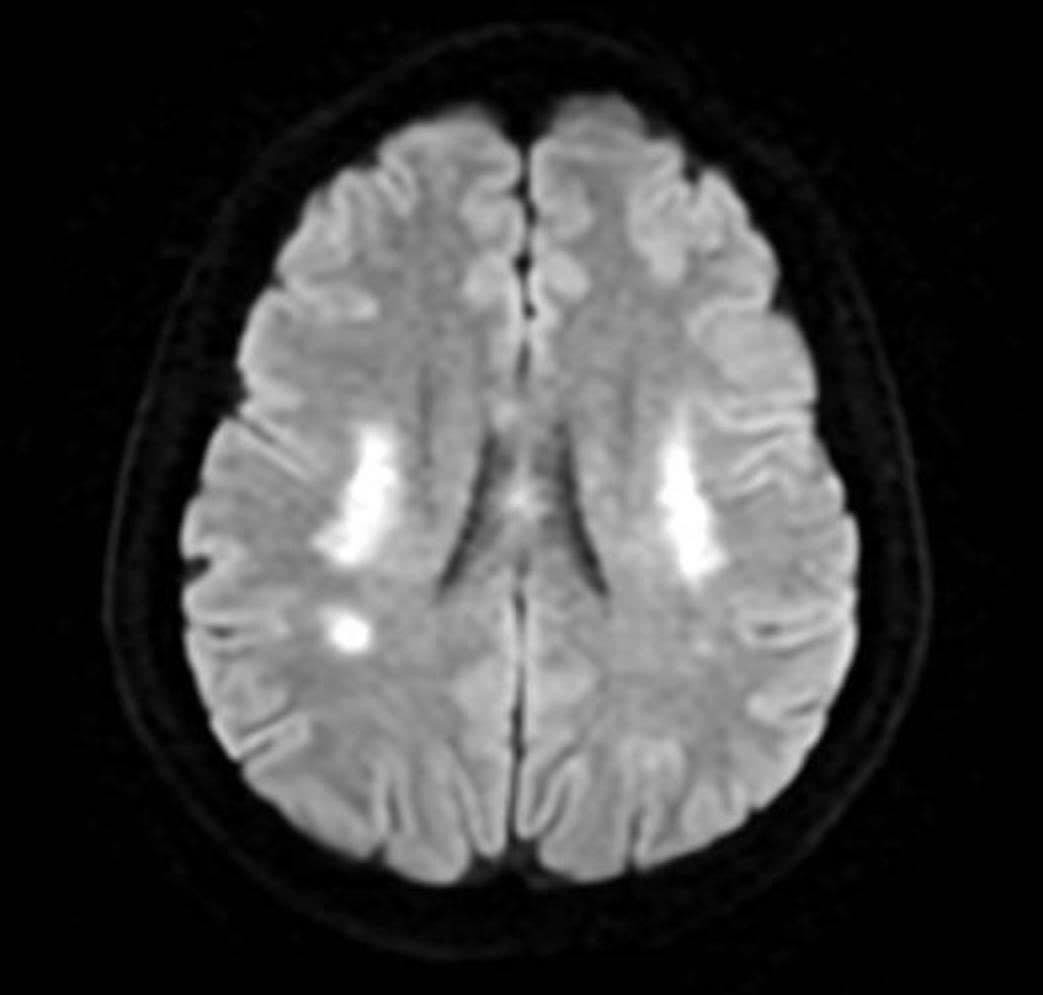
Nữ bệnh nhân đột quỵ bác sĩ chỉ ra nguyên nhân bất ngờ - Ảnh 1.

Trên hình ảnh kiểm tra, bác sĩ ghi nhận tình trạng tổn thương não xảy ra ở người bệnh (ảnh: BSCC)

Vài ngày sau khi tiêm thuốc, bệnh nhân bắt đầu xuất hiện các biểu hiện bất thường như yếu, run tứ chi. Khi đến khám tại hai bệnh viện tư nhân, tình trạng này được nhận định có thể liên quan đến rối loạn lo âu hoặc hạ calci máu. Tuy nhiên, cả hai nơi đều không chỉ định chụp MRI não. Khi về nhà, bệnh nhân đột ngột nói đớ và được chuyển đến Bệnh viện Nhân Dân 115.

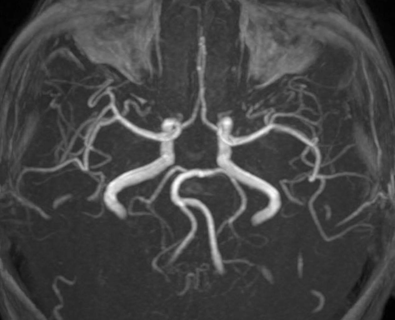
PGS Huy Thắng cho biết, ngay khi nhập viện, người bệnh được chụp MRI não. Hình ảnh cho thấy tổn thương não xảy ra ở hai bên trung tâm bán bầu dục và vùng lồi thể chai. Các thăm dò mạch máu não không ghi nhận tình trạng tắc hay hẹp các động mạch lớn. Dựa trên lâm sàng và hình ảnh học, các bác sĩ chẩn đoán bệnh nhân bị nhồi máu não cấp vùng trung tâm bán bầu dục hai bên và lồi thể chai.

Câu hỏi lớn được đặt ra là vì sao một phụ nữ còn trẻ, không có yếu tố nguy cơ tim mạch, lại xảy ra đột quỵ?. Theo PGS.TS.BS Nguyễn Huy Thắng, để lý giải điều này cần xem xét cơ chế sinh lý của kỹ thuật IVF.

Nữ bệnh nhân đột quỵ bác sĩ chỉ ra nguyên nhân bất ngờ - Ảnh 2.

Hình ảnh kiểm tra mạch máu não của người bệnh không ghi nhận tình trạng tắc hoặc hẹp các mạch máu lớn (ảnh: BSCC)

BS Thắng cho biết, IVF là phương pháp hỗ trợ sinh sản tiên tiến, trong đó trứng và tinh trùng được thụ tinh bên ngoài cơ thể trong môi trường phòng thí nghiệm, sau đó phôi được chuyển vào tử cung để làm tổ. Trong quy trình này, người phụ nữ thường được tiêm thuốc kích thích buồng trứng nhằm tăng số lượng trứng trưởng thành, đồng nghĩa với việc làm nồng độ hormone estradiol trong máu tăng cao bất thường.

Sự gia tăng estradiol có thể kích thích buồng trứng sản sinh nhiều yếu tố vasoactive, làm tăng tính thấm thành mạch máu. Hậu quả là dịch dễ thoát ra ngoài lòng mạch, gây giảm thể tích máu nội mạch và làm tăng nguy cơ hình thành huyết khối. Hai cơ chế này đều phù hợp với tổn thương não được ghi nhận ở bệnh nhân.

“Vùng trung tâm bán bầu dục, theo Louis Caplan - Giáo sư Thần kinh học tại Trường Y Harvard chính là vị trí ưa thích của những huyết khối nhỏ nhắm đến, đặc biệt khi bệnh nhân có tổn thương nhiều vùng chi phối mạch máu (trung tâm bán bầu dục 2 bên và lồi thể chai thuộc chi phối hệ cảnh - não giữa 2 bên và động mạch não trước hoặc động mạch não sau). Ngoài thuyên tắc huyết khối, trung tâm bán bầu dục là vùng giáp ranh cũng là vị trí tổn thương phù hợp với cơ chế giảm tưới máu”- PGS Huy Thắng giải thích thêm.

Theo PGS Huy Thắng, gần đây đã có một nghiên cứu được công bố mô tả trường hợp tổn thương thiếu máu tại vùng lồi thể chai ngay sau thực hiện kỹ thuật IVF. Trong ca này, tác giả nghĩ đến tổn thương não do cơ chế gây độc tế bào gây ra do nồng độ estradiol tăng cao.

“Với bệnh nhân của mình, chúng tôi chọn giải pháp bù dịch và kháng kết tập tiểu cầu. Dù chưa có chứng cứ thuyết phục, tuy vậy, đây có lẽ là giải pháp phù hợp. Sau một tuần theo dõi bệnh nhân đã phục hồi hoàn toàn, nhưng vẫn cần được theo dõi để tầm soát nguyên nhân khác” – PGS Huy Thắng cho biết.

“Đột quỵ phần lớn do nhiều yếu tố nguy cơ khó tránh, như tăng huyết áp (vô căn), hoặc một số nguyên nhân liên quan đến tuổi tác. Tuy nhiên, thật đáng tiếc nếu có thêm những nguy cơ khác đến từ các nguyên nhân không thật cần thiết, đặc biệt đối với người trẻ” – PGS.TS.BS Nguyễn Huy Thắng.

Vân Sơn
Bình luận (0)
Xem thêm bình luận
Ý kiến của bạn
Chuyên gia cảnh báo: Gan rất 'sợ' món này nhưng nhiều người lại lầm tưởng là 'có nguồn gốc'

Chuyên gia cảnh báo: Gan rất 'sợ' món này nhưng nhiều người lại lầm tưởng là 'có nguồn gốc'

Bệnh thường gặp - 3 giờ trước

GĐXH - Không ít người cho rằng chỉ cần thực phẩm có nguồn gốc rõ ràng là có thể yên tâm sử dụng thường xuyên. Tuy nhiên, theo Ths.BS Nguyễn Vũ Bình cho biết, một số loại thực phẩm chế biến sẵn dù đảm bảo vệ sinh và xuất xứ vẫn có thể gây áp lực cho gan nếu tiêu thụ quá nhiều trong thời gian dài.

Chỉ số Axit uric tăng cao: Chuyên gia khuyên nên làm ngay những điều này để tránh gout

Chỉ số Axit uric tăng cao: Chuyên gia khuyên nên làm ngay những điều này để tránh gout

Bệnh thường gặp - 15 giờ trước

GĐXH - Nồng độ Axit uric trong máu tăng cao kéo dài có thể làm gia tăng nguy cơ gout, tổn thương khớp và ảnh hưởng chức năng thận. Theo bác sĩ, bên cạnh thuốc điều trị, việc thay đổi chế độ dinh dưỡng và duy trì lối sống khoa học là yếu tố quan trọng giúp hỗ trợ kiểm soát Axit uric hiệu quả hơn.

Người đàn ông 71 tuổi bất ngờ phát hiện ung thư thực quản giai đoạn sớm từ 1 việc nhiều người Việt bỏ qua

Người đàn ông 71 tuổi bất ngờ phát hiện ung thư thực quản giai đoạn sớm từ 1 việc nhiều người Việt bỏ qua

Sống khỏe - 18 giờ trước

GĐXH - Không có triệu chứng bất thường, người đàn ông 71 tuổi bất ngờ phát hiện ung thư thực quản giai đoạn sớm khi đi tầm soát.

Người sống thọ thường có 5 đặc điểm này ở vùng đùi: Sau tuổi 50 càng nên kiểm tra sớm

Người sống thọ thường có 5 đặc điểm này ở vùng đùi: Sau tuổi 50 càng nên kiểm tra sớm

Sống khỏe - 21 giờ trước

GĐXH - Nhiều nghiên cứu cho thấy sức khỏe cơ bắp và đôi chân có liên quan mật thiết đến tuổi thọ. Trong đó, vùng đùi – nơi tập trung nhóm cơ lớn nhất cơ thể – được xem như “tấm gương phản chiếu” tình trạng chuyển hóa, tuần hoàn và vận động. Theo các bác sĩ, người sống thọ thường có 5 đặc điểm khá rõ ở đôi đùi mà không phải ai cũng để ý.

Người đàn ông 57 tuổi phát hiện u bàng quang từ dấu hiệu nhiều người Việt mắc phải nhưng bỏ qua

Người đàn ông 57 tuổi phát hiện u bàng quang từ dấu hiệu nhiều người Việt mắc phải nhưng bỏ qua

Sống khỏe - 23 giờ trước

GĐXH - Tiểu rắt kéo dài, tiểu khó, cảm giác tiểu không hết – những dấu hiệu tưởng chừng phổ biến lại có thể là cảnh báo u bàng quang, bệnh lý nguy hiểm thường gặp ở nam giới trung niên.

Mạch máu âm thầm 'rỉ sét': 5 dấu hiệu cảnh báo xơ vữa động mạch nhiều người bỏ qua

Mạch máu âm thầm 'rỉ sét': 5 dấu hiệu cảnh báo xơ vữa động mạch nhiều người bỏ qua

Sống khỏe - 1 ngày trước

GĐXH - Xơ vữa động mạch là căn bệnh nguy hiểm có thể âm thầm tiến triển suốt nhiều năm trước khi gây đột quỵ hoặc nhồi máu cơ tim. Các bác sĩ cảnh báo nhiều dấu hiệu như đau chân khi đi bộ, tức ngực hay chóng mặt kéo dài thường bị bỏ qua vì dễ nhầm với tuổi tác hoặc mệt mỏi thông thường.

Sau tuổi 50, cơ thể bắt đầu lão hóa ra sao? Áp dụng '5 đủ' để sống thọ

Sau tuổi 50, cơ thể bắt đầu lão hóa ra sao? Áp dụng '5 đủ' để sống thọ

Sống khỏe - 1 ngày trước

GĐXH - Bước sang tuổi 50, cơ thể bắt đầu lão hóa rõ rệt. Hiểu đúng những biến đổi này và điều chỉnh lối sống hợp lý là chìa khóa giúp bạn sống thọ, sống khỏe mỗi ngày.

Giảm đau do ung thư di căn xương bằng Sm-153 nâng cao chất lượng sống cho người bệnh

Giảm đau do ung thư di căn xương bằng Sm-153 nâng cao chất lượng sống cho người bệnh

Sống khỏe - 1 ngày trước

Liệu pháp phóng xạ điều trị bằng Samarium-153 EDTMP (Sm-153) đang được xem là giải pháp hữu hiệu giúp kiểm soát đau hiệu quả, an toàn và ít xâm lấn cho người bệnh ung thư di căn xương.

Thiếu nữ 19 tuổi mang khối u buồng trứng khoảng 30cm vì tâm lý chủ quan phụ nữ Việt hay mắc phải

Thiếu nữ 19 tuổi mang khối u buồng trứng khoảng 30cm vì tâm lý chủ quan phụ nữ Việt hay mắc phải

Sống khỏe - 1 ngày trước

GĐXH - Từ một dấu hiệu tưởng chừng đơn giản như “tăng cân”, nữ bệnh nhân 19 tuổi được phát hiện mang khối u buồng trứng khổng lồ.

Muốn sống thọ hơn sau tuổi 70, nhiều người nhất định phải thực hiện điều này

Muốn sống thọ hơn sau tuổi 70, nhiều người nhất định phải thực hiện điều này

Sống khỏe - 1 ngày trước

GĐXH - Nhiều người nghĩ muốn sống thọ phải nhờ thuốc tốt, bác sĩ giỏi hay thực phẩm bổ dưỡng đắt tiền. Thế nhưng, điều giúp không ít người ngoài 90 tuổi vẫn khỏe mạnh, tự đi chợ, nấu ăn và tận hưởng cuộc sống lại nằm ở cách sống mỗi ngày.

Bác sĩ cảnh báo 6 dấu hiệu ung thư xương giai đoạn đầu mà nhiều người vẫn nghĩ là thiếu canxi

Bác sĩ cảnh báo 6 dấu hiệu ung thư xương giai đoạn đầu mà nhiều người vẫn nghĩ là thiếu canxi

Bệnh thường gặp

GĐXH - Nhiều người cho rằng đau nhức xương, mỏi cơ hay chuột rút là dấu hiệu thiếu canxi nên tự ý bổ sung tại nhà trong thời gian dài. Tuy nhiên, theo ThS.BS Nguyễn Vũ Bình – Giảng viên Đại học Y Hà Nội, có những trường hợp đau xương thực chất là dấu hiệu sớm của ung thư xương và việc nhầm lẫn có thể khiến người bệnh bỏ lỡ “giai đoạn vàng” trong điều trị.

Top