Hà Nội
23°C / 22-25°C

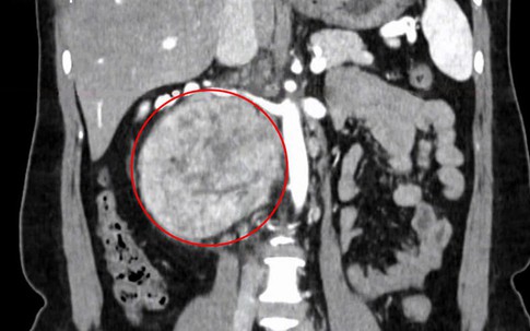
U hạch bạch huyết

Nhầm lẫn đau lưng do tập thể thao, người phụ nữ đi khám phát hiện khối u 'khổng lồ'

Nhầm lẫn đau lưng do tập thể thao, người phụ nữ đi khám phát hiện khối u 'khổng lồ'

Sống khỏe

GĐXH - Khối u rất lớn, kích thước 12 cm nằm sau tĩnh mạch chủ, cạnh động mạch và hai tĩnh mạch thận, gây chèn ép... khiến người bệnh bị đau lưng âm ỉ.

Top