Nam thanh niên nhập viện gấp vì tiêu cơ vân cấp do tập gym kéo dài 2 giờ/lần tập
GĐXH - Anh L. được chẩn đoán mắc bệnh tiêu cơ vân cấp sau khi tập gym với cường độ cao, kéo dài 2 giờ/lần tập.
Tiêu cơ vân cấp do tập gym cường độ cao
Trước khi vào viện khám 2 ngày, anh Đ.D.L (25 tuổi) có tập gym với cường độ cao, kéo dài 2 giờ/lần tập. Sau đó xuất hiện đau cơ đùi hai bên, đùi phải đau hơn đùi trái, kèm tiểu sẫm màu, anh đã đến BVĐK Medlatec để thăm khám.
Qua khám lâm sàng, bác sĩ ghi nhận bệnh nhân bị đau các bắp cơ đùi, cơ cẳng chân 2 bên.
Anh L. được chỉ định thực hiện các xét nghiệm và chẩn đoán hình ảnh nhằm đánh giá nguyên nhân đau cơ.

Ảnh: BVCC
Kết quả xét nghiệm men cơ (CK total) tăng cao lên tới 111825.00 U/L (ngưỡng bình thường là 38-174 U/L).
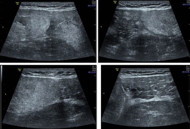
Kết quả siêu âm cho thấy hình ảnh vùng giảm âm trong tổ chức cơ tứ đầu đùi phải và trái
Siêu âm cho thấy hình ảnh vùng giảm âm trong tổ chức cơ tứ đầu đùi phải, trái, theo dõi tổn thương cấp.
Dựa vào triệu chứng lâm sàng và kết quả trên, anh L. được chẩn đoán mắc bệnh tiêu cơ vân cấp.
Bệnh nhân được nhập viện điều trị nội trú, xuất viện sau 7 ngày.
Nguyên nhân gây bệnh tiêu cơ vân cấp
Theo BSCKI. Đào Việt Hưng - Chuyên khoa Nội, Bệnh viện Đa khoa MEDLATEC, tiêu cơ vân là tổn thương phá hủy các tế bào cơ vân, giải phóng các chất là thành phần của tế bào cơ vân vào trong máu như: creatin kinase, myoglobin, phospho.
Tiêu cơ vân có thể xuất phát từ nhiều nguyên nhân, bao gồm:
Nguyên nhân do vận động hoặc chấn thương: Vận động quá sức, luyện tập cường độ cao, nhất là khi thời tiết nóng (như chạy marathon, tập gym nặng); chấn thương dập nát cơ do tai nạn giao thông, vùi lấp, điện giật.
Nguyên nhân do thuốc hoặc chất độc: thuốc giảm mỡ máu, chống loạn thần, chống co giật, rượu, ma túy, thuốc lắc, cocain.
Nguyên nhân khác: sốt cao, co giật kéo dài, hạ thân nhiệt; bệnh lý chuyển hóa, nhiễm trùng nặng, nhiễm virus (cúm, COVID-19,...); thiếu máu cục bộ kéo dài ở cơ (do bó bột, chèn ép mạch máu,...).
Bộ ba triệu chứng điển hình của tiêu cơ vân là đau cơ, yếu cơ và nước tiểu sẫm màu (màu trà). Tuy nhiên, trên lâm sàng bác sĩ chỉ gặp khoảng 10% bệnh nhân có cả 3 triệu chứng điển hình hình. 90% còn lại bệnh nhân có triệu chứng không đầy đủ, thậm chí không có triệu chứng lâm sàng.
Ngoài ra, người bệnh có thể kèm theo mệt mỏi, buồn nôn, sốt nhẹ, tiểu ít hoặc vô niệu (nguy cơ suy thận cấp), tim đập nhanh, chuột rút, co giật do rối loạn điện giải.
Biến chứng đáng sợ của tiêu cơ vân cấp
Bác sĩ Hưng cho biết, nếu không phát hiện và xử trí sớm, tiêu cơ vân cấp có thể gây ra những biến chứng nghiêm trọng như: suy thận cấp, rối loạn điện giải, co giật, loạn nhịp, toan chuyển hóa, tụt huyết áp, sốc giảm thể tích, rối loạn đông máu (DIC), tổn thương gan, tổn thương cơ quan đa hệ thống.
Mặc dù tiêu cơ vân cấp rất nguy hiểm, tuy nhiên nếu được phát hiện sớm và điều trị đúng cách, bệnh có thể hồi phục hoàn toàn. Bác sĩ Hưng khuyến cáo, nếu xuất hiện triệu bất thường nghi ngờ tiêu cơ vân cấp, người bệnh cần đến ngay cơ sở y tế để được khám và điều trị kịp thời.

Ăn đúng từ hôm nay, dạ dày sẽ 'biết ơn' bạn cả đời nếu biết đến những thực phẩm này
Bệnh thường gặp - 36 phút trướcGĐXH - Chỉ cần thay đổi nhỏ trong bữa ăn mỗi ngày, bạn đã có thể giảm nguy cơ ung thư dạ dày và giữ hệ tiêu hóa luôn khỏe mạnh.

Thủ môn Bùi Tiến Dũng đứt dây chằng đầu gối, chấn thương gặp phải sẽ mất bao lâu để hồi phục?
Bệnh thường gặp - 7 giờ trướcGĐXH - Với chấn thương đứt dây chằng, cựu thủ thành U23 Việt Nam phải lên bàn mổ để phẫu thuật trong ít ngày tới. Anh sẽ phải nghỉ ít nhất 8 tháng để hồi phục chấn thương.

Người đàn ông suýt chết vì thoát vị bẹn, thừa nhận một sai lầm nhiều người Việt mắc phải
Bệnh thường gặp - 10 giờ trướcGĐXH - Dù phát hiện thoát vị bẹn từ lâu nhưng bệnh nhân không điều trị, đến khi nhập viện thì đại tràng sigma đã bị hoại tử, thủng, dịch phân chảy ra ổ bụng gây viêm phúc mạc nặng.

Người đàn ông 44 tuổi phát hiện ung thư bàng quang sau 5 ngày xuất hiện dấu hiệu báo bệnh này
Bệnh thường gặp - 1 ngày trướcGĐXH - Xuất hiện tiểu máu 2 lần chỉ trong vòng 5 ngày, người đàn ông nghĩ mình bị viêm tiết niệu, nhưng đi khám không ngờ phát hiện mắc ung thư bàng quang.

Người phụ nữ bị rò rỉ, vỡ túi ngực sau 14 năm nâng ngực: Túi ngực có thời hạn được bao lâu?
Bệnh thường gặp - 1 ngày trướcGĐXH - Trước khi phát hiện bị vỡ túi ngực, bà Hân không có dấu hiệu đau, sưng hay biến dạng ngực.

Lá gan của cô gái bị virus 'gặm nhấm' thành ung thư
Bệnh thường gặp - 1 ngày trước20 tuổi, M.A bàng hoàng khi biết mình mắc ung thư gan và mầm bệnh âm thầm gặm nhấm lá gan từ trước đó rất lâu.

Đi khám vì đau bụng, bác sĩ lấy ra 30 viên sỏi mật trong người bệnh nhân 31 tuổi ở Phú Thọ
Bệnh thường gặp - 1 ngày trướcGĐXH - Trong quá trình mổ, các bác sĩ phát hiện nhiều viên sỏi mật kích thước khác nhau, màu đen, nằm đầy trong túi mật của người bệnh.

12 thực phẩm giúp giảm nguy cơ ung thư: Bí quyết dinh dưỡng ai cũng nên biết
Bệnh thường gặp - 2 ngày trướcGĐXH - Những nghiên cứu mới nhất ghi nhận 12 thực phẩm có thể giúp giảm nguy cơ ung thư. Khám phá bí quyết ăn uống khoa học để bảo vệ sức khỏe mỗi ngày.

Dấu hiệu cảnh báo bạn đang ăn quá nhiều tinh bột, nhiều người mắc mà không biết
Bệnh thường gặp - 3 ngày trướcGĐXH - Ăn rồi nhưng luôn cảm thấy đói, đường huyết tăng, táo bón đầy hơi, da nổi mụn... là một trong những nguyên nhân do bạn đang ăn quá nhiều tinh bộ trong chế độ ăn của mình.

Đột quỵ ở người trẻ: 'Cơn ác mộng' không còn của riêng tuổi trung niên
Bệnh thường gặp - 3 ngày trướcGĐXH - Căn bệnh tưởng như chỉ xảy ra với người lớn tuổi, nhưng ngày càng nhiều người ở độ tuổi 20–35 phải nhập viện vì đột quỵ. Đột quỵ đang trẻ hóa với tốc độ đáng báo động – và nguyên nhân đôi khi đến từ những thói quen rất đỗi quen thuộc.

12 thực phẩm giúp giảm nguy cơ ung thư: Bí quyết dinh dưỡng ai cũng nên biết
Bệnh thường gặpGĐXH - Những nghiên cứu mới nhất ghi nhận 12 thực phẩm có thể giúp giảm nguy cơ ung thư. Khám phá bí quyết ăn uống khoa học để bảo vệ sức khỏe mỗi ngày.