Người đàn ông 32 tuổi phát hiện ung thư phổi hiếm gặp từ dấu hiệu nhiều người Việt mắc phải
GĐXH - Ho kéo dài nhiều năm, điều trị nhiều nơi không dứt điểm, nam thanh niên bất ngờ được chẩn đoán mắc ung thư biểu mô tuyến nang – thể ung thư hiếm gặp ở đường thở.
Ho dai dẳng tưởng viêm phế quản, ai ngờ mắc ung thư hiếm gặp
Từ năm 2024, anh N.S.T. (32 tuổi, ở Thanh Hóa) bắt đầu xuất hiện tình trạng ho kéo dài, rõ rệt hơn vào ban đêm. Ban đầu, người bệnh tự mua thuốc điều trị tại nhà nhưng không cải thiện. Sau hơn một năm, triệu chứng tiến triển nặng hơn với ho nhiều, khạc đờm, khó thở khi gắng sức, thở khò khè.
Người bệnh từng thăm khám tại một số cơ sở y tế và được chẩn đoán theo hướng nhiễm trùng hô hấp, sử dụng kháng sinh và có cải thiện tạm thời, song không dứt điểm. Nhận thấy tình trạng kéo dài bất thường, anh T. quyết định đến Bệnh viện Đa khoa Medlatec để kiểm tra chuyên sâu.
Tại đây, bệnh nhân được PGS.TS.BS Hoàng Thị Phượng trực tiếp thăm khám và chỉ định thực hiện các xét nghiệm cận lâm sàng.
Nội soi phế quản phát hiện dấu hiệu nghi ngờ ung thư

Hình ảnh nội soi phế quản: U sùi thâm nhiễm gây hẹp 1/3 dưới khí quản. Ảnh: BVCC
Kết quả nội soi phế quản ban đầu ghi nhận niêm mạc khí – phế quản sung huyết, xuất hiện tổn thương dạng sùi, tăng sinh mạch và gây hẹp lòng khí quản đoạn 1/3 dưới cùng hệ thống phế quản phải. Đây là dấu hiệu gợi ý tổn thương u trong lòng đường thở.
Tuy nhiên, do lo ngại nguy cơ chảy máu, bệnh nhân và gia đình chưa đồng ý sinh thiết, khiến việc chẩn đoán xác định bị trì hoãn. Các xét nghiệm vi sinh sau đó đều âm tính, không tìm thấy nguyên nhân nhiễm trùng đặc hiệu.
Ở lần nội soi tiếp theo, tổn thương tiến triển rõ rệt hơn, khối u chít hẹp hoàn toàn phế quản gốc phải, kèm dịch mủ. Xét nghiệm phát hiện vi khuẩn Haemophilus influenzae, bệnh nhân được điều trị kháng sinh 2 tuần, giúp giảm ho khoảng 60–70%, nhưng tình trạng khó thở vẫn tồn tại.
Kiên trì thuyết phục sinh thiết, làm rõ bản chất khối u
Trước diễn biến bất thường, bác sĩ nhận định nguy cơ ung thư đường thở cao và tiếp tục chỉ định nội soi phế quản lần nữa. Lúc này, khối u đã bít tắc hoàn toàn phế quản gốc phải và lan lên khí quản.
Việc sinh thiết được xác định là bắt buộc để chẩn đoán. Sau khi được giải thích rõ ràng, gia đình đồng ý thực hiện thủ thuật.
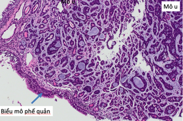
Kết quả giải phẫu bệnh cho thấy mô u có cấu trúc đặc trưng với hai thành phần tế bào, sắp xếp dạng ống và dạng mắt sàng. Nhuộm hóa mô miễn dịch ghi nhận các dấu ấn phù hợp, từ đó xác định bệnh nhân mắc ung thư biểu mô dạng tuyến nang (Adenoid cystic carcinoma).

Hình ảnh vi thể xét nghiệm mô bệnh học của bệnh nhân. Ảnh: BVCC
Ung thư biểu mô dạng tuyến nang: Dễ bị nhầm với bệnh hô hấp thông thường
Ung thư biểu mô dạng tuyến nang là thể ung thư hiếm của đường thở, tiến triển chậm nhưng âm thầm. Triệu chứng ban đầu như ho kéo dài, khò khè, khó thở rất dễ bị nhầm với viêm phế quản hoặc nhiễm trùng hô hấp, khiến nhiều bệnh nhân điều trị sai hướng trong thời gian dài.
Khi khối u phát triển lớn, tình trạng tắc nghẽn đường thở trở nên rõ rệt, ảnh hưởng nghiêm trọng đến chức năng hô hấp và tiên lượng bệnh.
Trường hợp này cho thấy tầm quan trọng của việc không chủ quan với triệu chứng ho kéo dài. Khi điều trị thông thường không hiệu quả, người bệnh cần được thăm khám chuyên sâu, đặc biệt là nội soi phế quản và sinh thiết, để phát hiện sớm các tổn thương ác tính tiềm ẩn.
Sau 50 tuổi, người sống thọ thường 'lười' 4 việc
Sống khỏe - 4 giờ trướcGĐXH - Sau tuổi 50, có những việc càng "lười" làm lại càng giúp cơ thể bền bỉ, sống thọ và an yên hơn.
Cứu sống bệnh nhân đứt lìa chân tay, hai lần ngừng tim tại Bệnh viện Đa khoa Bắc Kạn
Y tế - 5 giờ trướcGĐXH - Từ tình trạng sốc đa chấn thương, mất máu cấp, chân tay dập nát và tiên lượng sống rất thấp, bệnh nhân 67 tuổi đã “hồi sinh” kỳ diệu sau hơn một tháng được điều trị tích cực tại Bệnh viện Đa khoa Bắc Kạn, đánh dấu nỗ lực không ngừng của đội ngũ y bác sĩ.
Người phụ nữ phát hiện mắc ung thư hắc tố ở cơ quan sinh dục từ dấu hiệu dễ bị bỏ qua sau mãn kinh
Sống khỏe - 6 giờ trướcGĐXH - Người phụ nữ bị ung thư hắc tốt bất ngờ xuất hiện tình trạng xuất huyết âm đạo kèm khối sùi màu đen ở vùng kín. Nghĩ mình chỉ bị viêm nhiễm thông thường nên tự theo dõi tại nhà.
Loại quả bán rẻ quanh năm, giúp thải độc gan hiệu quả, người Việt nên ăn để phòng bệnh
Sống khỏe - 20 giờ trướcGĐXH - Chuối là loại trái cây rẻ tiền quen thuộc của người Việt, chuối mang đến nhiều lợi ích bất ngờ cho sức khỏe, đặc biệt giúp thải độc gan và bảo vệ gan nếu bạn ăn đúng cách.
Từng giành giật sự sống vì suy thận, phải chạy thận và ghép thận, người phụ nữ quyết giữ người thân không đi vào 'vết xe đổ'
Bệnh thường gặp - 1 ngày trướcGĐXH - Hai chị em cùng mắc suy thận, từ kinh nghiệm của mình, chị Hoài đã luôn nhắc nhở chị gái để không đi vào vết xe đổ của mình.
5 thực phẩm tốt cho não bộ: Hạt óc chó chỉ xếp thứ 5, vị trí số 1 khiến nhiều người bất ngờ
Sống khỏe - 1 ngày trướcGĐXH - Trong danh sách các thực phẩm hỗ trợ não bộ hiệu quả, óc chó chỉ đứng cuối bảng, còn "quán quân" lại là một nguyên liệu quen thuộc, thậm chí có sẵn trong gian bếp của nhiều gia đình.
Ung thư đại tràng và những biến chứng nguy hiểm: Người Việt cần đặc biệt cảnh giác
Sống khỏe - 1 ngày trướcGĐXH - Ung thư đại trực tràng là bệnh lý ác tính phổ biến nhưng thường diễn tiến âm thầm. Không ít trường hợp chỉ được phát hiện khi bệnh đã gây biến chứng nặng.
Loại quả đang bán rẻ đầy chợ Việt, người suy thận nên hay không nên ăn: Tùy từng giai đoạn bệnh
Sống khỏe - 1 ngày trướcGĐXH - Xoài là loại trái cây giàu vitamin, chất chống oxy hóa nhưng cũng chứa đường và kali, đây là yếu tố cần được cân nhắc kỹ ở người bệnh suy thận.
Món cháo bổ dưỡng đang 'hot' nhưng không phải ai cũng nên ăn: Bác sĩ chỉ rõ nhóm cần tránh
Bệnh thường gặp - 1 ngày trướcGĐXH - Cháo mực là món ăn quen thuộc, dễ tiêu hóa và giàu dinh dưỡng, được nhiều người lựa chọn để bồi bổ sức khỏe. Tuy nhiên, theo ThS.BS Nguyễn Vũ Bình (Giảng viên Đại học Y Hà Nội), không phải ai cũng phù hợp với món ăn này. Việc sử dụng không đúng cách có thể gây ảnh hưởng không nhỏ đến sức khỏe.
Người đàn ông 34 tuổi suy gan cấp vì sai lầm trong lúc giảm cân nhiều người Việt mắc phải
Sống khỏe - 2 ngày trướcGĐXH - Chỉ ăn thịt, cắt bỏ hoàn toàn tinh bột và rau củ để giảm cân nhanh, một người đàn ông 34 tuổi rơi vào suy gan cấp nguy hiểm.
Loại quả đang bán đầy chợ Việt, giúp hỗ trợ thải độc gan, thận: Ăn đúng cách mới phát huy hiệu quả
Sống khỏeGĐXH - Dứa chứa nhiều vitamin C, mangan và enzyme bromelain, giúp chống viêm, hỗ trợ tiêu hóa và góp phần giảm gánh nặng chuyển hóa cho gan, thận khi sử dụng hợp lý.
