Sởn da gà những hình ảnh bệnh lây qua đường tình dục
GiadinhNet - Bệnh lây qua đường tình dục rất dễ lây nhưng không phải ai cũng có ý thức phòng tránh. Theo giới y khoa, hiện nay có khoảng 20 loại bệnh lây qua đường tình dục, trong đó có những bệnh tàn phá cơ thể người một cách khủng khiếp. Bạn hãy nhìn những hình ảnh sau đây để giúp mình có ý thức hơn trong việc phòng ngừa.
![]() Giang mai. Đây là căn bệnh lây truyền qua đường tình dục gây ra bởi khuẩn xoắn Treponema pallidum. Đường lây truyền của bệnh giang mai hầu như luôn luôn là qua đường tình dục, mặc dù có những ca thí dụ về bệnh giang mai bẩm sinh do truyền từ mẹ sang con trong tử cung hoặc khi sinh.
| |
| |
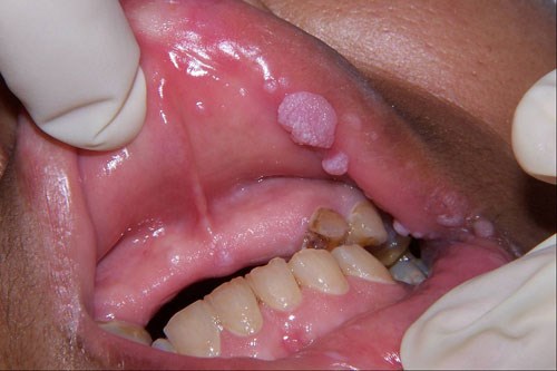
![]() Mụn cóc sinh dục (HPV). Mụn cóc sinh dục là một trong những loại bệnh phổ biến nhất lây truyền qua đường tình dục. Như tên cho thấy, mụn cóc sinh dục nằm tại vùng sinh dục. Có thể mụn nhỏ như da gà, có màu hoặc có kích thước lớn giống như mào gà( sùi mào gà).
| |
![]() Hạ cam là một bệnh lây truyền qua đường tình dục, do vi khuẩn Hemophilus ducreyi gây nên. Sau khi quan hệ tình dục với người bị bệnh hạ cam, trực khuẩn này xâm nhập vào vết trầy xước rất nhỏ ở bộ phận sinh dục, từ 3 – 5 ngày sau nổi mụn mủ nhỏ, nhanh chóng vỡ ra tạo thành vết loét. Theo thời gian, vết loét ngày càng to dần và tự lây nhiễm sang vùng kế cận, do đó bệnh nhân thường có nhiều vết loét.
| |
![]() Ung thư vòm họng. Quan hệ bằng miệng sẽ làm tăng nguy cơ bị ung thư vòm họng. Bởi virut u nhú ở người (human papillomavirus - HPV) có thể lây truyền từ người này sang người khác qua đường miệng hoặc qua sự tiếp xúc giữa "cậu bé" và "cô bé".
| |
![]() Nấm Chlamydia. Đây cũng là một căn bệnh gây ra bởi một loài vi khuẩn gây nhiễm trùng giống với virus gây bệnh lậu. Chlamydia không khó để chữa trị một khi biết có nó. Nếu nó không được điều trị, tuy nhiên, chlamydia có thể dẫn đến vấn đề sức khỏe nghiêm trọng hơn.
| |
![]() Bệnh mụn rộp sinh dục trên cơ thể. Quan hệ đường âm đạo và đường miệng đều có khả năng lây nhiễm hai loại virus mụn rộp cơ bản là HSV1 và HSV2. Tuy nhiên, tình dục miệng có nguy cơ lây lan virus mụn rộp nhanh và rộng hơn.
| |
![]() Bệnh lậu. Đây là căn bệnh nhiễm trùng lây qua đường tình dục do vi khuẩn Neisseria gonorrhoea. Mặc dù bệnh được biết đến với con đường lây lan qua quan hệ tình dục, nhưng nó cũng có thể lây truyền từ mẹ sang con trong quá trình sinh nở. |
![]() HIV. Biểu hiện giống nhau ở nam và nữ, thường xuất hiện sau nhiều tháng hoặc nhiều năm kể từ khi bị lây nhiễm: sụt cân nhanh chóng và mệt mỏi không rõ nguyên nhân; biểu hiện giống cúm kéo dài; tiêu chảy kéo dài không rõ nguyên nhân, ho kéo dài, có vết loét ở miệng lâu ngày không khỏi, nhiễm nấm kéo dài. Bệnh lây chủ yếu qua 3 con đường: đường máu, tình dục và mẹ sang con.
|
![]() Chlamydia là loại vi khuẩn gây bệnh có thể lan truyền thông qua tất cả các hình thức quan hệ tình dục, bao gồm cả tình dục bằng miệng. Có khoảng 1/20 dân số Mỹ bị coi là nhiễn chlamydia.
|
![]() Ngoài những vết loét thông thường, chlamydia có thể làm tổn thương mắt người bị bệnh, gây đỏ mắt hoặc chứng viêm màng kết. Theo đó, đôi mắt bị tổn hại thường xuất phát từ việc chạm tay vào mắt sau khi dùng tay kích thích vùng kín.
|
![]() Sùi mào gà là một trong số 8 căn bệnh lây nhiễm qua đường tình dục, mức độ nguy hại của nó đối với sức khỏe con người không thể coi nhẹ. Sùi mào gà là bệnh lây truyền qua đường tình dục do nhiễm HPV, biểu hiện bằng các sẩn sùi mềm ở sinh dục ngoài có khi ở hậu môn hoặc vùng da khác như ở miệng. Tác nhân gây bệnh là HPV (human papiloma virus), thuộc loại papova virus có DNA. Chủ yếu lây truyền qua đường tình dục, còn có thể lây truyền qua tiếp xúc. Trẻ sơ sinh có thể bị lây bệnh từ người mẹ mắc bệnh trong lúc sinh đẻ. |
2 kiểu tập thể dục giúp ngủ ngon nhất: Không cần phức tạp, chỉ cần đúng cách
Sống khỏe - 2 giờ trướcGĐXH - Không phải thuốc ngủ, cũng không phải thực phẩm chức năng, một nghiên cứu mới cho thấy chỉ cần chọn đúng hình thức vận động, giấc ngủ có thể cải thiện rõ rệt sau vài tuần.
Thực phẩm tốt cho người mỡ máu cao
Sống khỏe - 4 giờ trướcMỡ máu cao hay tình trạng rối loạn chuyển hóa lipid máu là một trong những nguyên nhân hàng đầu dẫn đến các biến cố tim mạch nguy hiểm. Chế độ ăn uống rất quan trọng trong phác đồ điều trị.
Người bệnh suy thận ăn ổi cần biết điều này để duy trì chức năng thận tốt nhất
Sống khỏe - 5 giờ trướcGĐXH - Những người mắc bệnh thận và suy thận thường có lo ngại về việc ăn uống. Và đúng là việc lựa chọn thực phẩm phù hợp rất quan trọng để duy trì sức khỏe thận.
Ngủ đủ vẫn mệt? 3 thói quen buổi tối tưởng vô hại nhưng đang âm thầm 'rút cạn năng lượng' của bạn
Bệnh thường gặp - 16 giờ trướcGĐXH - Ngủ đủ nhưng sáng nào cũng mệt rã rời, đầu óc nặng trĩu và chẳng còn chút năng lượng? Có thể bạn đang tự “bào mòn” cơ thể mỗi tối mà không hề nhận ra.
Nữ sinh 17 tuổi sốc tim nguy kịch vì viêm cơ tim cấp từ 1 dấu hiệu nhiều người Việt bỏ qua
Sống khỏe - 17 giờ trướcGĐXH - Viêm cơ tim cấp có thể diễn tiến cực nhanh, âm thầm ở người trẻ, dễ bị bỏ qua nếu chủ quan với triệu chứng ban đầu.
Người bệnh suy thận ăn rau muống có tốt không? Câu trả lời khiến nhiều người bất ngờ
Sống khỏe - 22 giờ trướcGĐXH - Rau muống là món quen thuộc của người Việt, nhưng với người suy thận, việc ăn loại rau này có thể tiềm ẩn nhiều rủi ro nếu không kiểm soát đúng cách.
Người đàn ông 39 tuổi phát hiện ung thư đại tràng di căn gan từ dấu hiệu nhiều người Việt bỏ qua
Sống khỏe - 1 ngày trướcGĐXH - Đau bụng kéo dài, rối loạn tiêu hóa tưởng chừng thông thường, người đàn ông 39 tuổi đi khám mới phát hiện ung thư đại tràng đã di căn gan.
5 thực phẩm giàu vitamin B6 tốt cho não bộ và hệ miễn dịch
Sống khỏe - 1 ngày trướcVì cơ thể con người không thể tự tổng hợp hoặc dự trữ vitamin B6 với số lượng lớn nên việc lựa chọn các thực phẩm giàu vitamin B6 trong thực đơn hàng ngày rất cần thiết để góp phần duy trì hệ thống miễn dịch khỏe mạnh và một trí tuệ tốt.
Người phụ nữ 52 tuổi ở Bắc Ninh sốc nhiễm khuẩn, suy đa tạng chỉ từ một tổn thương nhỏ sau tiêm
Y tế - 1 ngày trướcGĐXH - Từ một tổn thương sưng tấy nhỏ ở mu bàn tay sau khi tiêm thuốc điều trị xương khớp, nữ bệnh nhân 52 tuổi ở Bắc Ninh phải nhập viện cấp cứu khi rơi vào tình trạng sốc nhiễm khuẩn, suy đa tạng nguy kịch.
Hành trình giành lại sự sống cho cặp song sinh sinh non ở tuần thai 27
Mẹ và bé - 1 ngày trướcBé gái nặng 950g và bé trai nặng 900g chào đời ở tuần thai 27 non nớt, phổi chưa trưởng thành với nhiều bệnh lý đã được các bác sĩ Bệnh viện Phụ sản Hà Nội giành giật sự sống từng ngày.
Từ ca sinh con ở tuổi 60: Bác sĩ khuyến cáo vì sao nên sinh con trước tuổi 35?
Dân số và phát triểnGĐXH - Trường hợp sản phụ sinh con ở tuổi 60 đã gióng lên cảnh báo về những rủi ro khi mang thai ở tuổi lớn. Các chuyên gia khuyến cáo phụ nữ nên sinh con trước 35 tuổi để đảm bảo an toàn cho cả mẹ và bé.











