Cô gái 25 tuổi phát hiện mắc ung thư hạch từ dấu hiệu tưởng vô hại, nhiều người Việt bỏ qua
GĐXH - Cô gái được phát hiện mắc ung thư hạch sau khi sờ thấy khối bất thường ở vùng cổ. Đây là những dấu hiệu nhỏ nhưng tiềm ẩn nguy cơ bệnh lý ác tính.
Phát hiện ung thư hạch từ vùng cổ, tưởng vô hại
Mới đây, Phòng khám Đa khoa Medlatec Tây Hồ tiếp nhận bệnh nhân N.A.N (25 tuổi) đến khám do sờ thấy khối vùng thượng đòn trái kèm đau thượng vị kéo dài.
Theo chia sẻ, khoảng một tháng trước khi nhập viện, bệnh nhân xuất hiện đau bụng vùng thượng vị, ợ hơi, cơ thể mệt mỏi. Đáng chú ý, người bệnh tự phát hiện khối ở vùng cổ nhưng không đau nên ban đầu khá chủ quan.
Qua thăm khám, bác sĩ ghi nhận khối ở hố thượng đòn trái kích thước khoảng 3x2 cm, mật độ chắc, di động kém. Các xét nghiệm chuyên sâu sau đó cho thấy nhiều hạch bất thường ở vùng cổ, trung thất và phổi.
Kết quả sinh thiết xác định bệnh nhân mắc u lympho Hodgkin – một dạng ung thư hạch ác tính. Bệnh nhân đã được tư vấn chuyển đến cơ sở chuyên khoa để điều trị.

Ảnh minh họa.
Ung thư hạch có nguy hiểm không?
Theo các chuyên gia, u lympho Hodgkin là một trong hai nhóm ung thư của hệ bạch huyết, chiếm khoảng 20–30% các trường hợp ung thư hạch.
Dữ liệu từ Tổ chức Y tế Thế giới cho thấy, năm 2022 có hơn 82.000 ca mắc mới trên toàn cầu, với tỷ lệ tử vong khoảng 27,5%.
Bệnh có thể gặp ở nhiều lứa tuổi, nhưng phổ biến nhất ở người trẻ khoảng 20 tuổi và người lớn tuổi khoảng 60 tuổi.
Hiện nay, nguyên nhân chính xác gây bệnh chưa được xác định rõ, tuy nhiên một số yếu tố nguy cơ có thể liên quan như nhiễm virus Epstein-Barr, suy giảm miễn dịch, bệnh tự miễn hoặc tiền sử gia đình mắc ung thư hạch.
Dấu hiệu cảnh báo ung thư hạch dễ bị bỏ qua
U lympho Hodgkin thường có biểu hiện không điển hình, dễ nhầm lẫn với các bệnh thông thường.
Triệu chứng phổ biến nhất là nổi hạch bất thường, thường gặp ở cổ, nách hoặc bẹn. Hạch thường không đau, mật độ chắc nên nhiều người dễ chủ quan.
Ngoài ra, người bệnh có thể xuất hiện các dấu hiệu như ho kéo dài, khó thở, đau ngực, mệt mỏi, sụt cân không rõ nguyên nhân, sốt kéo dài hoặc đổ mồ hôi ban đêm.
Một số trường hợp còn có biểu hiện hiếm gặp như ngứa da, đau sau khi uống rượu hoặc các hội chứng cận u khác.

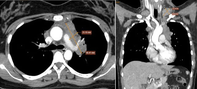
Hình ảnh cho thấy nhiều hạch bất thường trung thất và nền cổ 2 bên. Ảnh: BVCC
Biến chứng nguy hiểm của ung thư hạch nếu không phát hiện sớm
Bệnh có xu hướng lan từ một nhóm hạch sang các vùng lân cận, sau đó có thể xâm lấn đến các cơ quan khác như lách, tủy xương hoặc phổi.
Khi tiến triển nặng, khối u có thể gây chèn ép tĩnh mạch chủ trên, khiến bệnh nhân phù mặt, cổ, tay; hoặc gây suy hô hấp do chèn ép đường thở.
Ngoài ra, người bệnh có thể đối mặt với tình trạng suy kiệt, thiếu máu, giảm tiểu cầu và tăng nguy cơ nhiễm trùng nghiêm trọng.
Các bác sĩ khuyến cáo, khi phát hiện hạch vùng cổ, nách hoặc bẹn có kích thước lớn, tồn tại kéo dài, không đau hoặc kèm theo các triệu chứng toàn thân, người dân nên đi khám sớm để được chẩn đoán chính xác.
Việc phát hiện sớm u lympho Hodgkin có ý nghĩa quan trọng trong điều trị, giúp tăng cơ hội kiểm soát bệnh và cải thiện tiên lượng lâu dài.
4 sai lầm khiến trẻ khó đạt chiều cao tối đa, nhiều cha mẹ Việt mắc phải
Sống khỏe - 10 giờ trướcGĐXH - Chiều cao lý tưởng không chỉ là yếu tố thẩm mỹ mà còn phản ánh rõ tình trạng sức khỏe của trẻ. Tuy nhiên, không ít phụ huynh đang mắc sai lầm khiến trẻ không phát triển hết tiềm năng.
Người làm văn phòng có nguy cơ sốc nhiệt cao hơn tưởng tượng
Sống khỏe - 15 giờ trướcGĐXH - Sốc nhiệt không chỉ là một hiện tượng của cơ thể con người, mà nó còn là một mối nguy hiểm tiềm tàng trong thời tiết nắng nóng, và đặc biệt dễ xảy ra ở người làm văn phòng.
Ăn gan lợn thế nào để bổ dưỡng mà không gây hại?
Sống khỏe - 19 giờ trướcGan lợn là thực phẩm giàu dinh dưỡng với hàm lượng sắt, vitamin A và protein cao. Tuy nhiên, việc ăn gan lợn quá thường xuyên hoặc chế biến không đúng cách cũng có thể làm tăng nguy cơ ảnh hưởng đến sức khỏe.
Từ 101kg xuống 67kg sau 9 tháng, nữ giáo viên thoát béo phì nhờ 1 lựa chọn bất ngờ
Sống khỏe - 19 giờ trướcGĐXH - Từng nặng 101kg, thất bại với ăn kiêng và suýt chọn hút mỡ, người phụ nữ 44 tuổi bất ngờ “lột xác” sau phẫu thuật thu nhỏ dạ dày, giảm 34kg và cải thiện sức khỏe rõ rệt.
Ngày Dinh dưỡng cộng đồng Việt Nam lần thứ 6: Đưa lối sống lành mạnh đến gần hơn với người dân
Y tế - 19 giờ trướcNgày Dinh dưỡng cộng đồng Việt Nam lần thứ 6 khai mạc trong không khí sôi động, rực rỡ sắc màu. Hàng nghìn người dân cùng 20 đội chơi tham gia các hoạt động vận động, khám tư vấn sức khỏe và trình diễn tập thể, lan tỏa tinh thần sống khỏe, năng động và gắn kết cộng đồng.
Người dân hào hứng khám sức khỏe miễn phí tại Ngày Dinh dưỡng cộng đồng Việt Nam lần 6
Y tế - 19 giờ trướcSKĐS - Hàng nghìn người dân TPHCM đã tham gia thăm khám, kiểm tra thể trạng và nhận tư vấn dinh dưỡng miễn phí từ các chuyên gia, bác sĩ tại Ngày Dinh dưỡng cộng đồng Việt Nam lần thứ 6 tại Dinh Thống Nhất.
Dấu hiệu cảnh báo ung thư trực tràng mà người trên 50 tuổi không nên bỏ qua
Bệnh thường gặp - 22 giờ trướcGĐXH - Người bệnh 74 tuổi nhập viện với dấu hiệu đi ngoài ra máu, đau bụng âm ỉ, được chẩn đoán ung thư trực tràng giai đoạn tiến triển.
5 dấu hiệu cảnh báo đường ruột "có vấn đề", điểm thứ 2 đặc biệt cần lưu ý
Sống khỏe - 1 ngày trướcGĐXH - Nhiều người thường nghĩ rằng đau bụng hay đầy hơi chỉ là vấn đề ăn uống thông thường. Tuy nhiên, theo các chuyên gia sức khỏe, đây đôi khi lại là tín hiệu cho thấy hệ vi sinh đường ruột đang mất cân bằng.
Mùa hè nên ăn trứng thế nào để không tăng cholesterol? Chuyên gia khuyến cáo cách ăn an toàn nhất
Sống khỏe - 1 ngày trướcGĐXH - Mùa hè nắng nóng, việc ăn trứng đúng cách và đúng lượng đóng vai trò quan trọng để phát huy lợi ích và hạn chế rủi ro.
Một dấu hiệu cảnh báo ung thư rất dễ nhận ra nhưng nhiều người bỏ qua
Sống khỏe - 1 ngày trướcGĐXH - Nhiều người cho rằng đổ mồ hôi khi ngủ chỉ đơn giản là do thời tiết nóng bức hoặc phòng ngủ bí khí. Tuy nhiên, các chuyên gia cảnh báo nếu tình trạng này xảy ra thường xuyên, mồ hôi ra nhiều bất thường đến mức phải thay quần áo hoặc ga giường giữa đêm thì đây có thể là dấu hiệu sức khỏe đáng lưu ý, thậm chí liên quan đến ung thư.
Loại quả nhiều người chê 'nhạt nhẽo' lại là kho dưỡng chất 'vàng' cho tim mạch và đôi mắt
Bệnh thường gặpGĐXH - Theo ThS.BS Nguyễn Vũ Bình, bí ngòi không chỉ là thực phẩm dễ chế biến mà còn chứa nhiều dưỡng chất có lợi cho cơ thể. Từ hỗ trợ thị lực, tăng cường sức khỏe tim mạch đến cải thiện tiêu hóa và bổ sung chất chống oxy hóa, bí ngòi được xem là lựa chọn tốt cho chế độ ăn uống lành mạnh hằng ngày.
