Bệnh sởi
 
                        
                        Chỉ sau vài ngày bị sốt, người đàn ông 35 tuổi rơi vào nguy kịch do căn bệnh hay gặp ở trẻ nhỏ
Sống khỏeGĐXH - Theo các bác sĩ, bệnh nhân bị viêm cơ tim, một biến chứng hiếm gặp của sởi. Điều này khiến quá trình điều trị càng trở nên phức tạp, tiên lượng hạn chế.
 
                                    
                Bé gái 8 tuổi sốc nhiễm trùng, suy gan, phổi trắng xóa sau 6 giờ nhập viện vì biến chứng sởi
Y tếGĐXH - Bé gái 8 tuổi nhập viện trong tình trạng sốc nhiễm trùng, suy gan, suy hô hấp do bị sởi biến chứng.
 
                                    
                Bé 7 tháng tuổi ở Quảng Ninh suy hô hấp do bệnh sởi biến chứng nặng
Mẹ và béGĐXH - Bệnh nhi 7 tháng tuổi mắc bệnh sởi biến chứng viêm phổi nặng, suy hô hấp kèm tiêu chảy cấp. Được biết, bệnh nhi chưa đến độ tuổi tiêm phòng và có tiền sử viêm phổi hai lần trong những tháng đầu đời.
 
                                    
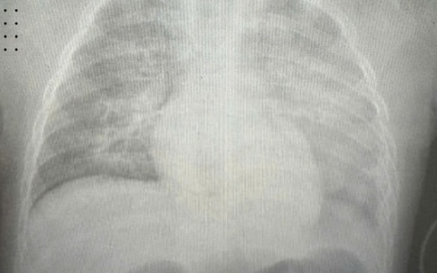
                Nhiều người lớn mắc sởi chuyển nặng, phải can thiệp thở máy
Sống khỏeGĐXH - Hiện nay, bệnh sởi đang có xu hướng gia tăng, không chỉ ở trẻ em mà cả người lớn, đặc biệt là nhóm người có bệnh nền hoặc suy giảm miễn dịch.
 
                                    
                Ghi nhận ca tử vong do sởi ở người lớn, khuyến cáo nhóm người cần đặc biệt lưu ý khi mắc sởi
Bệnh thường gặpGĐXH – Hiện nay, bệnh sởi đang có xu hướng gia tăng, không chỉ ở trẻ em mà cả người lớn, đặc biệt là nhóm người có bệnh nền hoặc miễn dịch suy giảm. Điều đáng nói, nhiều người lớn chủ quan cho rằng sởi chỉ là bệnh nhẹ, sẽ tự khỏi sau vài ngày. Tuy nhiên, thực tế bệnh có thể gây ra nhiều biến chứng nguy hiểm, thậm chí tử vong nếu không điều trị kịp thời.
 
                                    
                Bệnh sởi lây nhanh hơn COVID-19, nhiều trẻ em, người lớn nhập viện trong tình trạng nguy kịch
Sống khỏeGĐXH – Theo các chuyên gia, bệnh sởi đang có diễn biến phức tạp. Điều đáng nói, sởi là bệnh lây lan nhanh nhất trong số các bệnh truyền nhiễm, tỷ lệ lây còn cao hơn COVID-19.
 
                                    
                Gia tăng bệnh sởi ở người lớn, nhiều người biến chứng nặng, phải lọc máu, can thiệp ECMO
Sống khỏeGĐXH - Theo các chuyên gia, hiện nay tại Việt Nam, bệnh sởi đang có xu hướng gia tăng, không chỉ ở trẻ em mà cả người lớn. Đáng chú ý, đa số các trường hợp mắc bệnh đều chưa được tiêm phòng hoặc chưa tiêm nhắc lại.
 
                                    
                Bé gái 4 tuổi ở Hà Nội tử vong do sởi, bác sĩ khuyến cáo dấu hiệu cần đưa trẻ đi viện ngay
Sống khỏeGĐXH – Theo các bác sĩ, trẻ mắc sởi nếu không được phát hiện sớm và điều trị kịp thời, bệnh có thể gây những biến chứng nguy hiểm, thậm chí có thể gây tử vong.
 
                                    
                Bệnh sởi lây lan nhanh, Bộ Y tế khuyến cáo biện pháp hữu hiệu để phòng bệnh
Y tếGĐXH - Các chuyên gia y tế nhận định, sởi là bệnh lây lan nhanh nhất trong số các bệnh truyền nhiễm, bệnh lây qua không khí khi người bị nhiễm bệnh ho hoặc hắt hơi và chỉ có thể cắt đứt sự lây truyền khi miễn dịch cộng đồng đạt ít nhất 95%.
 
                                    
                876 ca bệnh sởi chỉ trong 2 tháng đầu năm, Hà Nội đẩy mạnh tiêm vaccine để ngăn dịch sởi
Y tếGĐXH - Theo Sở Y tế Hà Nội, số ca mắc sởi trên địa bàn có xu hướng gia tăng từ 2 tháng cuối năm 2024 đến nay. Chỉ tính riêng hơn 2 tháng đầu năm 2025, Hà Nội đã ghi nhận 876 ca mới.
 
                                    
                Hà Nội: Hơn 100 trường hợp mắc sởi trong tuần, khuyến cáo cách bảo vệ con trong những ngày thời tiết nồm ẩm
Sống khỏeGĐXH - Hiện nay, thời tiết mùa xuân, mưa phùn nồm ẩm là môi trường thuận lợi cho virus, vi khuẩn phát triển và lây lan, trong đó có virus gây bệnh sởi.
 
                                    
                Bé gái sốt cao, nổi ban toàn thân từ căn bệnh hay gặp mùa đông xuân, bác sĩ khuyến cáo cách phòng ngừa
Sống khỏeGĐXH - Theo các bác sĩ, biểu hiện của bệnh sởi khá giống với các bệnh lý của đường hô hấp nói chung. Do đó, đa phần các gia đình thường chỉ phát hiện khi trẻ đã phát ban ra. Trong giai đoạn này, tình trạng bệnh ở trẻ có thể tiến triển khá nhanh.
 
                                    
                Bệnh sởi có dấu hiệu gia tăng dịp Tết, chăm sóc trẻ mắc bệnh tại nhà như thế nào?
Bệnh thường gặpGĐXH - Bệnh sởi đang có dấu hiệu gia tăng tại một số địa phương, bác sĩ đưa ra hướng dẫn chăm sóc trẻ bị sởi tại nhà.
 
                                    
                Sốt cao liên tục, ho, chảy mũi, nhiều trẻ nhập viện vì biến chứng nặng, có trẻ phải thở máy
Sống khỏeGĐXH – Trẻ được đưa đến viện trong tình trạng ban sởi toàn thân, phù nề mi mắt, xuất huyết tại các vị trí tiêm truyền. Chẩn đoán hội chứng suy hô hấp cấp tiến triển (ARDS), một biến chứng nặng của sởi.
 
                                    
                Hà Nội: Gia tăng số trẻ nhập viện vì sởi, nhiều trẻ biến chứng nặng
Sống khỏeGĐXH – Tại Bệnh viện Nhi Hà Nội, khoảng 30% các bệnh nhi nhập viện trong tình trạng nặng, tổn thương phổi, phải can thiệp thở oxy hoặc thở máy.
 
                                    
                Liên tiếp trẻ nhỏ mắc sởi biến chứng nặng, bác sĩ khuyến cáo nhập viện ngay khi có dấu hiệu này!
Sống khỏeGĐXH – Tại Bệnh viện Thanh Nhàn (Hà Nội), số trẻ mắc sởi được ghi nhận chủ yếu là trẻ từ 4 tháng tuổi đến 8 tuổi. Trong đó, nhiều trẻ mắc sởi chưa đến tuổi tiêm vaccine; một số trẻ tiêm không đầy đủ hoặc trẻ bị bỏ sót mũi tiêm.
 
                                    
                Người phụ nữ 37 tuổi ở Nam Định men gan tăng, viêm phổi do căn bệnh hay gặp ở trẻ nhỏ
Y tếGĐXH – Tại bệnh viện, bệnh nhân được chẩn đoán mắc sởi có biến chứng viêm phổi, được điều trị tích cực để thoát cơn nguy kịch.
 
                 
                             
                             
                             
                             
                             
                                             
                                             
                                             
                                            