Người đàn ông ở Quảng Ninh bị nhồi máu cơ tim cấp từ dấu hiệu đau ngực phổ biến
GĐXH - Bệnh nhận nhập viện trong tình trạng nhồi máu cơ tim cấp biến chứng sốc tim, tổn thương nặng cả ba thân động mạch vành, nguy cơ tử vong rất cao.
Nhồi máu cơ tim từ dấu hiệu đau tức ngực
Bệnh nhân P.V.P. (86 tuổi, trú phường Quang Hanh, tỉnh Quảng Ninh) được đưa vào Bệnh viện Đa khoa tỉnh Quảng Ninh trong tình trạng đau tức ngực dữ dội. Qua thăm khám và cận lâm sàng, các bác sĩ chẩn đoán người bệnh bị nhồi máu cơ tim cấp kèm biến chứng sốc tim, huyết động không ổn định, chức năng tim suy giảm rõ rệt.
Trước nguy cơ đe dọa trực tiếp tính mạng, với sự đồng thuận của gia đình, người bệnh được chuyển thẳng đến phòng can thiệp tim mạch trong tình trạng tối khẩn.
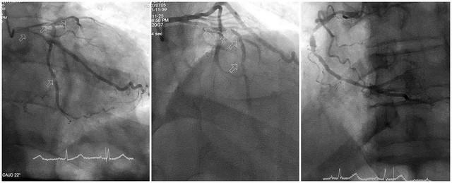
Kết quả chụp mạch vành cho thấy mức độ tổn thương đặc biệt nghiêm trọng: Động mạch liên thất trước hẹp tới 90–99%, gần như tắc hoàn toàn; động mạch mũ và động mạch vành phải hẹp 80–90%; hệ mạch vành vôi hóa nặng, thành mạch cứng, làm tăng nguy cơ biến chứng khi can thiệp.

Ảnh: BVCC
Một ca nhồi máu cơ tim biến chứng sốc tim rất khó
TTƯT.BSCKII Trần Quang Định – Trưởng khoa Phẫu thuật và Can thiệp Tim mạch của bệnh viện cho biết: "Đây là một ca nhồi máu cơ tim biến chứng sốc tim rất khó. Người bệnh đã 86 tuổi, thể trạng gầy yếu, trong khi hệ mạch vành vôi hóa nặng. Nếu không tái thông mạch vành kịp thời, vùng cơ tim sẽ tiếp tục hoại tử, nguy cơ tử vong rất cao. Nhưng nếu can thiệp thiếu thận trọng, biến chứng có thể xảy ra ngay trên bàn can thiệp."
Trước tình thế "tiến thoái lưỡng nan", ê-kíp bác sĩ nhanh chóng hội chẩn liên chuyên khoa, xây dựng chiến lược can thiệp tối ưu, ưu tiên tái thông nhanh mạch vành thủ phạm, đồng thời đảm bảo an toàn tối đa cho người bệnh cao tuổi.
Kíp can thiệp tập trung xử trí tổn thương nặng nhất, luồn dây dẫn qua các đoạn mạch vôi hóa cứng, sử dụng các dụng cụ chuyên dụng để nong bóng từng bước, mở lại lòng mạch bị hẹp nặng.
Việc vượt qua các đoạn mạch vôi hóa là thách thức lớn, song bằng kinh nghiệm, sự kiên trì và phối hợp nhịp nhàng, các bác sĩ đã đặt thành công stent vào động mạch liên thất trước, tái thông dòng máu nuôi tim.
Sau can thiệp, huyết động người bệnh dần ổn định, nhịp tim cải thiện, tình trạng đau tức ngực thuyên giảm rõ rệt.

Ảnh minh họa.
Phương pháp phòng ngừa nhồi máu cơ tim cấp ở người cao tuổi
- Không hút thuốc lá, thuốc lào vì chúng có khả năng làm giảm oxy trong máu và tổn thương niêm mạc của các mạch máu.
- Kiểm soát huyết áp: Việc kiểm soát huyết áp cần thực hiện thường xuyên đề phòng cao huyết áp.
- Kiểm soát đường huyết để phát hiện sớm bệnh đái tháo đường. Nếu mắc đái tháo đường, việc kiểm soát chặt chẽ lượng đường trong máu có thể giúp giảm nguy cơ bệnh tim.
- Cần tập luyện thể dục thể thao. Thực hiện luyện tập theo khuyến cáo của bác sĩ để phù hợp với sức khỏe, nên có thời gian tập luyện thể dục thể thao ít nhất 30 phút mỗi ngày và nhiều nhất các ngày trong tuần để chống lại tác nhân gây rối loạn nhịp tim.
- Kiểm soát cân nặng. Việc thực hiện chế độ ăn, chế độ luyện tập thì kiểm soát cân nặng, tránh béo phì là cần thiết. Việc duy trì một trọng lượng cân đối sẽ giảm nguy cơ mắc bệnh tim mạch.
- Chế độ ăn khoa học, ăn thực phẩm lành mạnh với người cao tuổi là vô cùng quan trọng. Hằng ngày nên thực hiện chế độ ăn 2 bữa/ ngày với các loại trái cây, rau và ngũ cốc - và ít cholesterol bão hòa, chất béo và natri - có thể giúp kiểm soát cân nặng, huyết áp và cholesterol.
5 loại rau quả rất tốt cho thận, bác sĩ khuyên nên ăn thường xuyên
Bệnh thường gặp - 12 giờ trướcNhiều người ăn dưa chuột, uống nước chanh bổ sung vitamin C hàng ngày nhưng có thể chưa biết loại rau quả này rất tốt cho thận, giảm nồng độ axit uric và nguy cơ sỏi thận.
Tế bào ung thư 'thích' gì trong cơ thể bạn? người Việt hiểu đúng để phòng ngừa và điều trị hiệu quả
Sống khỏe - 13 giờ trướcGĐXH - Hiểu đúng bản chất, tốc độ lan rộng của tế bào ung thư sẽ giúp mỗi người chủ động phát hiện sớm, điều trị kịp thời và phòng bệnh hiệu quả.
Bác sĩ tiết lộ phần bị vứt bỏ của bắp ngô lại có lợi cho thận, nhiều người không biết mà bỏ phí
Bệnh thường gặp - 14 giờ trướcGĐXH - Râu ngô thường bị coi là phần thừa khi chế biến bắp ngô, nhưng ít ai biết đây lại là vị thuốc quen thuộc trong y học cổ truyền. Nếu sử dụng đúng cách, râu ngô có thể hỗ trợ lợi tiểu, cải thiện các vấn đề đường tiết niệu và sỏi thận, tuy nhiên không phải ai cũng nên dùng tùy tiện.
8 thói quen đơn giản giúp bạn trẻ lâu hơn tuổi thật
Sống khỏe - 17 giờ trướcGĐXH - Tuổi tác chỉ là những con số, nhưng diện mạo và tinh thần lại là sự lựa chọn của mỗi người. Bạn có bao giờ thắc mắc tại sao có những người dù đã bước sang tuổi xế chiều vẫn toát lên vẻ trẻ trung, linh hoạt và đầy sức sống? Câu trả lời không nằm ở những liệu trình làm đẹp đắt đỏ, mà nằm ở 8 thói quen sinh hoạt và tu dưỡng nội tâm "tinh túy" dưới đây.
Người đàn ông 60 tuổi ở Phú Thọ nhồi máu cơ tim cấp thừa nhận một sai lầm nhiều người Việt mắc phải
Sống khỏe - 18 giờ trướcGĐXH - Chủ quan với cơn đau ngực, người đàn ông bất ngờ ngừng tuần hoàn ngoại viện do nhồi máu cơ tim cấp, rơi vào tình trạng nguy kịch với tiên lượng rất nặng.
Bác sĩ ung bướu nhắc nhở 5 việc phụ nữ nên làm ngay để giảm nguy cơ mắc ung thư
Bệnh thường gặp - 19 giờ trướcDù nam giới vẫn là nhóm có tỷ lệ mắc ung thư cao hơn, song tốc độ gia tăng ca bệnh lại đang diễn ra nhanh hơn rõ rệt ở phụ nữ. Để phòng tránh, chị em nên làm ngay 5 việc này.
Tại sao phụ nữ sau 40 tuổi khó giảm cân? Rất có thể bạn đang mê 4 món không dầu mỡ nhưng nhanh "béo không phanh"
Bệnh thường gặp - 1 ngày trướcNhiều người hay nói đùa rằng phụ nữ sau 40 tuổi "hít khí trời cũng béo". Hóa ra, có sự thật phía sau tình trạng dễ tăng nhưng khó giảm cân này.
Bé trai 10 tuổi đột quỵ sau khi chơi cầu lông, bác sĩ cảnh báo dấu hiệu dễ bị bỏ qua ở trẻ
Sống khỏe - 1 ngày trướcGĐXH - Từ cảm giác mệt mỏi, đau đầu gối khi chơi cầu lông, bé trai nhanh chóng rơi vào tình trạng yếu liệt nửa người do đột quỵ nhồi máu não hiếm gặp.
Người phụ nữ ở Quảng Ninh nguy kịch vì nhồi máu cơ tim cấp, bác sĩ khuyến cáo dấu hiệu cần nhập viện gấp
Sống khỏe - 1 ngày trướcGĐXH - Chỉ từ một cơn đau ngực tưởng thoáng qua, người phụ nữ 78 tuổi ở Quảng Ninh rơi vào tình trạng nhồi máu cơ tim cấp, ngừng tim ngay trên bàn can thiệp.
Trái cây tưởng càng ăn càng tốt, nhưng 5 loại quả này người axit uric cao nên dè chừng
Bệnh thường gặp - 1 ngày trướcGĐXH - Trái cây giàu vitamin, tốt cho sức khỏe là điều không phải bàn cãi. Thế nhưng với người có nồng độ axit uric cao, ăn trái cây không đúng loại, không đúng cách lại có thể khiến tình trạng gout và rối loạn chuyển hóa nặng hơn. Một số loại quả quen thuộc, vị ngọt dễ ăn nhưng lại tiềm ẩn nguy cơ làm axit uric tăng cao nếu sử dụng thường xuyên. Dưới đây là 5 loại trái cây người axit uric cao nên lưu ý để tránh “tốt hóa hại”.
Ngứa dai dẳng ở 4 vị trí này: Cảnh báo ung thư gan sớm, nhiều người Việt đang bỏ qua
Bệnh thường gặpGĐXH - Ngứa da là hiện tượng cực kỳ phổ biến, khiến đa số chúng ta nghĩ ngay đến dị ứng, chàm hoặc do thời tiết. Tuy nhiên, y học lâm sàng đã phát hiện một loại ngứa da không đến từ kích ứng bên ngoài mà do tổn thương gan, đặc biệt là ung thư gan giai đoạn đầu gây ra.
