Thanh niên 30 tuổi đang khỏe mạnh bất ngờ đột quỵ khi chơi bóng đá: Bác sĩ hé lộ nguyên nhân
GĐXH - Thanh niên bị đột quỵ khi đang chơi bóng đá có chỉ số huyết áp tăng cao, được ghi nhận là 200/100mmHg.
Tăng huyết áp, thanh niên bất ngờ đột quỵ ngay khi đang chơi bóng đá
Vào khoảng 7 giờ tối, khi đang đá bóng với các bạn được khoảng 45 phút, anh L.Đ.B, (30 tuổi, ngụ tại Củ Chi) đột ngột cảm thấy chóng mặt, mất thăng bằng, rồi ngã gục trên sân trước sự ngỡ ngàng của đồng đội nên được bạn đưa đến BVĐK Xuyên Á cấp cứu.
Sau khi thăm khám, các bác sĩ nghi ngờ đây là triệu chứng của một cơn đột quỵ với triệu chứng nổi bật là chóng mặt và thất điều nửa người phải chỉ số huyết áp được ghi nhận là 200/100mmHg.
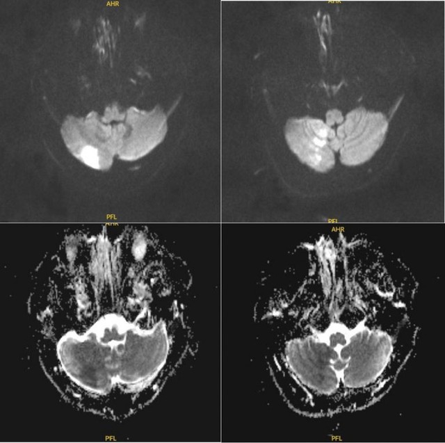
Ngay lập tức, người bệnh được tiến hành chụp MRI, kết quả xác định có vùng nhồi máu tiểu não bên phải.

Hình chụp MRI của bệnh nhân trong khi đá banh bị đột quỵ. Ảnh: BVCC
Bệnh nhân được kiểm soát huyết áp, tiêm thuốc tiêu sợi huyết (rTPA) qua đường tĩnh mạch có tác dụng tái thông mạch máu đang bị tắc nghẽn, giúp cấp máu và oxy kịp thời cho các tế bào não đang có nguy cơ bị tổn thương nghiêm trọng.
Ngay khi tiêm thuốc, bệnh nhân đã giảm chóng mặt nhanh chóng, giảm thất điều và bệnh nhân có thể giữ thăng bằng khi ngồi, cũng như đi lại. Anh B. có thể tự đi lại và vận động bình thường, không ghi nhận hẹp hay tắc mạch máu lớn trên phim CT mạch máu não. Đây là minh chứng rõ rệt cho hiệu quả của việc cấp cứu đột quỵ đúng thời điểm, vì "thời gian là não".
Anh B. sau đó được chuyển đến khoa Nội thần kinh để tiếp tục điều trị, theo dõi và tầm soát các căn nguyên đột quỵ. Nhờ sự quan tâm, chăm sóc tận tình của đội ngũ bác sĩ, điều dưỡng, bệnh nhân đã được xuất viện sau 7 ngày.
Tránh đột quỵ tái phát: Tuân thủ chỉ định của bác sĩ
Để tránh nguy cơ tái phát, anh B. được khuyến cáo phải tuân thủ nghiêm ngặt việc dùng uống thuốc theo chỉ định của bác sĩ, không tự ý ngưng thuốc và kiểm soát lâu dài bệnh lý tăng huyết áp. Đặc biệt cần bỏ hoàn toàn thói quen uống rượu bia và hạn chế các môn thể thao, vận động quá mạnh vì có thể ảnh hưởng đến mạch máu.
Qua trường hợp bệnh nhân này, BS. Lê Minh Mẫn – Khoa Nội thần kinh Bệnh viện Đa khoa Xuyên Á khuyến cáo: "Khi phát hiện người thân hay người xung quanh có dấu hiệu đột quỵ (theo quy tắc FAST), người dân cần đưa người bệnh đến ngay cơ sở y tế có trung tâm đột quỵ gần nhất để được cứu chữa kịp thời. Tuyệt đối không được điều trị theo phương pháp dân gian vì điều này sẽ làm mất "thời gian vàng", khiến người bệnh có thể dẫn đến hôn mê, thậm chí nguy hiểm đến tính mạng."
Các dấu hiệu nhận biết đột quỵ điển hình theo quy tắc F.A.S.T (méo miệng, liệt tay, nói khó, xác định thời gian đưa bệnh nhân đến bệnh viện sớm nhất). Tuy nhiên, một số trường hợp đặt biệt, như bệnh nhân này, có dấu hiệu đột quỵ ít gặp hơn: B.E (chóng mặt, choáng váng, mất thăng bằng, mất thị lực, nhìn mờ, nhìn đôi). Do đó, đôi khi dấu hiệu nhận biết sớm đột quỵ được viết là B.E.F.A.S.T.

Bệnh nhân đã được xuất viện sau 7 ngày nhập viện. Ảnh: BVCC
Vì sao đột quỵ có thể xảy ra khi đang chơi thể thao?
Mặc dù tập luyện thể thao thường xuyên và điều độ giúp giảm nguy cơ đột quỵ về lâu dài, nhưng đột quỵ vẫn có thể xảy ra trong hoặc ngay sau khi tập. Với những lý do như sau:
Vận động quá sức và cường độ cao: Khi chơi thể thao với cường độ quá cao hoặc gắng sức, nhu cầu oxy và máu cung cấp cho cơ thể, đặc biệt là não bộ, tăng lên đột ngột. Nếu hệ tuần hoàn không kịp đáp ứng, có thể dẫn đến tình trạng thiếu máu cục bộ, gây ra đột quỵ.
Bệnh lý nền tiềm ẩn: Đây là nguyên nhân hàng đầu. Nhiều trường hợp đột quỵ khi chơi thể thao xảy ra ở những người đã có sẵn các yếu tố nguy cơ hoặc bệnh lý nền về tim mạch và mạch máu mà họ có thể chưa biết, chẳng hạn như: Tăng huyết áp, bệnh lý tim mạch, dị dạng mạch máu não hoặc các vấn đề về mạch máu khác. Khi gắng sức, các bệnh lý này có thể bị kích thích, trở nên trầm trọng hơn, dẫn đến đột quỵ.
Chấn thương vùng đầu/cổ: Trong các môn thể thao đối kháng hoặc có nguy cơ va chạm cao, chấn thương có thể dẫn đến bóc tách động mạch cổ-não, đây là một nguyên nhân phổ biến gây đột quỵ ở người trẻ và vận động viên.
Thói quen không tốt: Tập luyện khi thiếu ngủ, mất nước, hoặc ăn uống không khoa học cũng có thể làm tăng nguy cơ.
Vì vậy, việc chơi thể thao cường độ cao có thể tạo ra một áp lực lớn lên hệ thống tim mạch và mạch máu, tác động lên các vấn đề sức khỏe đang tiềm ẩn. Do đó, việc tầm soát sức khỏe định kỳ và tập luyện vừa sức là rất quan trọng để phòng ngừa nguy cơ đột quỵ.
Người đàn ông Phú Thọ bị tổn thương gan chỉ vì 1 thói quen khi ăn rau
Bệnh thường gặp - 1 ngày trướcNgười đàn ông Phú Thọ không ngờ một thói quen ăn rau của mình lại khiến gan phải lãnh hậu quả.
Chuyên gia cảnh báo: Gan rất 'sợ' món này nhưng nhiều người lại lầm tưởng là 'có nguồn gốc'
Bệnh thường gặp - 2 ngày trướcGĐXH - Không ít người cho rằng chỉ cần thực phẩm có nguồn gốc rõ ràng là có thể yên tâm sử dụng thường xuyên. Tuy nhiên, theo Ths.BS Nguyễn Vũ Bình cho biết, một số loại thực phẩm chế biến sẵn dù đảm bảo vệ sinh và xuất xứ vẫn có thể gây áp lực cho gan nếu tiêu thụ quá nhiều trong thời gian dài.
Chỉ số Axit uric tăng cao: Chuyên gia khuyên nên làm ngay những điều này để tránh gout
Bệnh thường gặp - 2 ngày trướcGĐXH - Nồng độ Axit uric trong máu tăng cao kéo dài có thể làm gia tăng nguy cơ gout, tổn thương khớp và ảnh hưởng chức năng thận. Theo bác sĩ, bên cạnh thuốc điều trị, việc thay đổi chế độ dinh dưỡng và duy trì lối sống khoa học là yếu tố quan trọng giúp hỗ trợ kiểm soát Axit uric hiệu quả hơn.
Lòng lợn đang được 'minh oan' trên mạng xã hội, nhưng sự thật phía sau không đơn giản như nhiều người nghĩ
Bệnh thường gặp - 4 ngày trướcGĐXH - Nhiều người cho rằng lòng lợn “ít hại” hơn mỡ hay móng giò vì ít chất béo hơn. Tuy nhiên, theo TS Lê Thị Hương Giang, nội tạng động vật vẫn tiềm ẩn nhiều nguy cơ về tim mạch, gout và tồn dư độc chất nếu ăn thường xuyên.
Bác sĩ cảnh báo 6 dấu hiệu ung thư xương giai đoạn đầu mà nhiều người vẫn nghĩ là thiếu canxi
Bệnh thường gặp - 5 ngày trướcGĐXH - Nhiều người cho rằng đau nhức xương, mỏi cơ hay chuột rút là dấu hiệu thiếu canxi nên tự ý bổ sung tại nhà trong thời gian dài. Tuy nhiên, theo ThS.BS Nguyễn Vũ Bình – Giảng viên Đại học Y Hà Nội, có những trường hợp đau xương thực chất là dấu hiệu sớm của ung thư xương và việc nhầm lẫn có thể khiến người bệnh bỏ lỡ “giai đoạn vàng” trong điều trị.
Vì sao uống thuốc mỡ máu một thời gian rồi vẫn tái phát? Bác sĩ chỉ ra nguyên nhân ít ai ngờ tới
Bệnh thường gặp - 5 ngày trướcGĐXH - Nhiều người bị rối loạn mỡ máu thường có tâm lý uống thuốc đến khi chỉ số ổn định thì tự ý ngưng điều trị. Tuy nhiên, theo ThS.BS Nguyễn Vũ Bình (Giảng viên Đại học Y Hà Nội), việc mỡ máu tăng trở lại sau khi ngừng thuốc là tình trạng rất phổ biến nếu người bệnh không thay đổi được nguyên nhân gốc rễ liên quan đến dinh dưỡng và chuyển hóa.
6 nhóm thực phẩm giúp gan 'dễ thở', cơ thể nhẹ nhõm hơn mỗi ngày
Sống khỏe - 1 tuần trướcGĐXH - Gan quá tải có thể khiến cơ thể nhanh mệt mỏi, da xỉn màu và làm tăng nguy cơ gan nhiễm mỡ. Theo ThS.BS Nguyễn Vũ Bình, 6 nhóm thực phẩm quen thuộc dưới đây có thể giúp hỗ trợ chức năng gan, giảm viêm và tăng cường sức khỏe nếu bổ sung đúng cách mỗi ngày.
Ướp thịt qua đêm tưởng vô hại, chuyên gia cảnh báo sai lầm khiến nguy cơ ngộ độc tăng cao
Bệnh thường gặp - 1 tuần trướcGĐXH - Ướp thịt qua đêm giúp món ăn đậm vị và tiết kiệm thời gian chế biến, nhưng nếu bảo quản sai cách có thể làm tăng nguy cơ ngộ độc thực phẩm. Theo TS Lê Thị Hương Giang, điều quan trọng không nằm ở việc có nên ướp thịt qua đêm hay không mà là cách bảo quản và chế biến thực phẩm sau đó.
Chỉ 7 bài plank này nhưng có thể 'đánh bay' mỡ toàn thân: ai tập đúng mới thấy hiệu quả thật sự!
Bệnh thường gặp - 1 tuần trướcGĐXH - Plank không chỉ giúp siết cơ bụng mà còn hỗ trợ đốt mỡ toàn thân hiệu quả. Chỉ với 7 biến thể đơn giản tại nhà, bạn có thể cải thiện vóc dáng rõ rệt nếu tập đúng cách và kiên trì.
Loại quả 'gây nghiện' mùa hè nhưng chuyên gia cảnh báo 4 kiểu người này nên hạn chế ăn
Bệnh thường gặp - 1 tuần trướcGĐXH - Sầu riêng là loại trái cây được nhiều người yêu thích nhờ hương vị béo ngậy và hàm lượng dinh dưỡng cao. Tuy nhiên, theo các chuyên gia dinh dưỡng, loại quả này chứa lượng năng lượng và đường khá lớn nên không phù hợp với tất cả mọi người, đặc biệt là những người đang có bệnh lý nền liên quan chuyển hóa và tim mạch.
Bác sĩ cảnh báo 6 dấu hiệu ung thư xương giai đoạn đầu mà nhiều người vẫn nghĩ là thiếu canxi
Bệnh thường gặpGĐXH - Nhiều người cho rằng đau nhức xương, mỏi cơ hay chuột rút là dấu hiệu thiếu canxi nên tự ý bổ sung tại nhà trong thời gian dài. Tuy nhiên, theo ThS.BS Nguyễn Vũ Bình – Giảng viên Đại học Y Hà Nội, có những trường hợp đau xương thực chất là dấu hiệu sớm của ung thư xương và việc nhầm lẫn có thể khiến người bệnh bỏ lỡ “giai đoạn vàng” trong điều trị.
