Người đàn ông 58 tuổi phát hiện ung thư mũi từ dấu hiệu nhiều người Việt bỏ qua
GĐXH - Nghẹt mũi hơn 1 năm, ông Lăng, 58 tuổi đi khám từng được chẩn đoán có khối u nhỏ trong mũi, nay đi khám phát hiện ung thư mũi.
Phát hiện ung thư mũi từ dấu hiệu nghẹt mũi
Trước đây, ông Lăng từng được bác sĩ chẩn đoán có khối u trong mũi, nhưng chưa có triệu chứng bất thường nên ông không tái khám, tiếp tục điều trị. Gần đây, ông có tình trạng chảy máu mũi nhiều nên đến PKĐK Tâm Anh Quận 7 khám.
ThS.BS.CKI Trương Tấn Phát, Trưởng Đơn vị Tai Mũi Họng xử trí cầm máu, khám lâm sàng và nội soi mũi họng ghi nhận khối u lấp đầy hốc mũi trái, che kín cửa mũi sau và vùng hòm kèm chảy máu.

Bác sĩ nội soi mũi cho bệnh nhân. Ảnh: BVCC
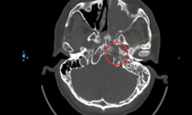
Kết quả chụp CT-scan ghi nhận tổn thương choán chỗ xoang hàm trái, lan vào hốc mũi qua lỗ thông xoang. Tổn thương lan vào lấp đầy xoang sàng, xoang trán và xoang bướm trái, phát triển về phía cửa mũi sau trái, lấp đầy vòm mũi họng hai bên. Tổn thương hủy xương clivus (xương nằm ở nền sọ) trái, tụ dịch khí chũm bào trái và quanh các xương con bên trái, theo dõi hạch góc hàm trái.
Bác sĩ Phát chẩn đoán người bệnh viêm mũi xoang xuất tiết, theo dõi u hốc mũi. Qua đánh giá trên lâm sàng và hình ảnh học, nghi ngờ khối u ác tính, chỉ định sinh thiết.
Ung thư mũi sống được bao lâu?
Bác sĩ Phát nội soi lấy mô khối u gửi sinh thiết. Kết quả là ung thư hốc mũi, dạng biểu mô tế bào vảy. Hội chẩn liên chuyên khoa, bác sĩ chỉ định phẫu thuật cắt khối u ác tính và xương bị xâm lấn.

Hình ảnh CT-scan ghi nhận khối u hốc mũi che lấp vùng vòm họng người bệnh. Ảnh: BVCC
Theo bác sĩ Phát, ung thư mũi chủ yếu được điều trị bằng phẫu thuật nội soi cắt trọn khối u cùng mô xung quanh.
Dựa trên kết quả giải phẫu mô bệnh học, bác sĩ sẽ xác định hướng điều trị tiếp theo (hóa, xạ trị). Với ung thư mũi, phát hiện và điều trị càng sớm, tiên lượng càng tốt. Tỷ lệ sống sau 5 năm của ung thư hốc mũi – xoang cạnh mũi giảm dần theo mức độ lan rộng: 82% khi u còn khu trú, 52% khi lan đến hạch lân cận và 42% khi đã di căn xa.
Dấu hiệu cảnh báo ung thư mũi
Các triệu chứng ban đầu của ung thư hốc mũi thường không đặc hiệu, dễ nhầm lẫn với viêm xoang, polyp mũi thông thường, bao gồm nghẹt mũi, chảy máu mũi, giảm khứu giác.
Để chẩn đoán ung thư cần khám lâm sàng, nội soi tai mũi họng, xét nghiệm chẩn đoán hình ảnh (chụp MRI, CT…), sinh thiết.
Cần làm gì khi phát hiện u hốc mũi
U hốc mũi thường lành tính (polyp mũi, u nhầy mũi xoang, u xơ vòm họng…), thường phát triển chậm và ít nguy hiểm, tuy nhiên vẫn cần theo dõi và điều trị kịp thời. U lành tính có thể diễn tiến thành ung thư khi gặp một số nguy cơ cao như tiếp xúc thường xuyên với hóa chất, bụi gỗ, da, khói thuốc lá, nhiễm virus HPV và yếu tố di truyền.
Bác sĩ Phát khuyến cáo, người bệnh nên khám định kỳ, loại bỏ sớm các khối u bất thường và tránh tiếp xúc với yếu tố nguy cơ ngăn khả năng tiến triển thành ung thư. Đồng thời, khi xuất hiện triệu chứng bất thường ở tai, mũi, họng như nghẹt mũi không khỏi, mất khứu giác, chảy máu mũi… nên đi khám càng sớm càng tốt để bác sĩ chẩn đoán và điều trị kịp thời.
Chuyên gia chỉ ra: Loại thịt này ít béo, giàu dinh dưỡng, là lựa chọn thông minh cho cả nhà
Bệnh thường gặp - 2 ngày trướcGĐXH - Theo ThS.BS Nguyễn Vũ Bình, thịt thăn là phần thịt nạc mềm, ít mỡ, chứa hàm lượng chất béo bão hòa thấp hơn nhiều phần thịt khác, đồng thời cung cấp protein chất lượng cao cùng nhiều vi chất thiết yếu. Nhờ đặc tính dễ chế biến, giữ được vị ngọt tự nhiên và hỗ trợ sức khỏe tim mạch cũng như sức khỏe tổng thể, thịt thăn được xem là lựa chọn thông minh trong thực đơn hằng ngày của mỗi gia đình.
Thực phẩm rất quen thuộc trong ngày lễ Tết nhưng cần ăn đúng cách để tránh tăng cân
Bệnh thường gặp - 3 ngày trướcGĐXH - Giò bò là món ăn truyền thống quen thuộc trong ẩm thực Việt Nam, thường xuất hiện trên mâm cỗ ngày lễ, Tết và cả trong bữa ăn thường ngày. Tuy nhiên, theo các bác sĩ, dù có giá trị dinh dưỡng cao, giò bò vẫn cần được tiêu thụ với lượng hợp lý để tránh nguy cơ dư thừa năng lượng và tăng cân.
Chuyên gia nhắc nhở: Loại thịt mang tiếng 'đại bổ' nhưng không phải ai cũng được ăn
Bệnh thường gặp - 3 ngày trướcGĐXH - Trong dân gian Việt Nam, thịt cóc từ lâu được xem là món ăn bồi bổ dành cho người ốm yếu, trẻ còi cọc hay người cao tuổi. Tuy nhiên, bên cạnh những lợi ích được truyền miệng, thịt cóc cũng tiềm ẩn nhiều nguy cơ nếu chế biến không đúng cách. Việc sử dụng thực phẩm này đòi hỏi sự thận trọng để đảm bảo an toàn cho sức khỏe.
Nên ăn gì trước khi uống rượu? 5 món 'cứu cánh' giúp giảm say, bảo vệ dạ dày ngày Tết
Bệnh thường gặp - 3 ngày trướcGĐXH - Trước khi uống rượu bia, bạn nên ăn trứng, cơm hoặc bánh mì, các loại hạt, rau xanh và cá giàu omega-3. Những thực phẩm này giúp làm chậm hấp thu cồn, giảm say và bảo vệ dạ dày – đặc biệt quan trọng trong dịp Tết khi tần suất tiệc tùng tăng cao.
Ung thư đại trực tràng ở người trẻ tăng 45%, chuyên gia cảnh báo 7 nhóm thực phẩm nên hạn chế
Bệnh thường gặp - 5 ngày trướcMột trong những nguyên nhân gây nên ung thư đại trực tràng đó là dinh dưỡng.
9 thực phẩm không nên để tủ lạnh dịp Tết: Cứ tưởng giữ tươi lâu, ai ngờ lại làm mất sạch dinh dưỡng
Bệnh thường gặp - 1 tuần trướcGĐXH - Tủ lạnh không phải “cứu tinh” của mọi loại thực phẩm. Có ít nhất 9 thực phẩm không nên để trong tủ lạnh gồm: bánh mì, khoai tây, hành tây, tỏi, cà chua, chuối, mật ong, cà phê và dưa hấu chưa cắt. Việc bảo quản sai cách, đặc biệt trong dịp Tết tích trữ nhiều đồ ăn, có thể khiến thực phẩm mất dinh dưỡng, biến đổi hương vị và nhanh hỏng hơn bạn nghĩ.
Món bánh gói lá chuối quen thuộc của miền Trung: Ăn tưởng nhẹ bụng, hóa ra giàu dinh dưỡng hơn nhiều người nghĩ
Bệnh thường gặp - 1 tuần trướcGĐXH - Không cầu kỳ như nhiều món ăn truyền thống khác, bánh nậm chinh phục người ăn bằng lớp vỏ mềm mịn, nhân tôm thịt đậm đà và hương thơm dịu nhẹ từ lá chuối. Ít ai biết rằng, đằng sau vẻ ngoài giản dị ấy là sự kết hợp khá hài hòa giữa tinh bột, protein và các vi chất thiết yếu, mang lại giá trị dinh dưỡng đáng chú ý nếu ăn đúng cách.
Loại củ này được ví như 'kho' dưỡng chất thu nhỏ: vừa chống viêm, vừa bổ não, còn giúp ổn định đường huyết
Bệnh thường gặp - 1 tuần trướcGĐXH - Không chỉ là món ăn dân dã quen thuộc, khoai từ (củ từ) còn được xem là 'kho' dưỡng chất tự nhiên nhờ chứa nhiều hợp chất sinh học có lợi cho sức khỏe. Từ khả năng chống viêm, hỗ trợ ổn định đường huyết đến tác dụng với não bộ và nội tiết nữ, khoai từ đang ngày càng được các chuyên gia dinh dưỡng đánh giá cao.
Vì sao nên uống nước khi thức dậy dịp Tết? 5 lợi ích đơn giản nhưng nhiều người lại quên mất
Bệnh thường gặp - 1 tuần trướcGĐXH - Uống nước khi thức dậy giúp bù nước sau giấc ngủ, hỗ trợ tiêu hóa, cải thiện tuần hoàn và tăng năng lượng cho cơ thể. Dịp Tết ăn uống thất thường, thức khuya nhiều, thói quen đơn giản này càng quan trọng để giữ sức khỏe ổn định suốt những ngày đầu năm.
Vui xuân, giữ an toàn cho người bệnh thận: 'Cẩm nang vàng' giúp hạn chế biến chứng ngày Tết
Bệnh thường gặp - 1 tuần trướcGĐXH - Dịp Tết với thực đơn giàu muối, đạm và chất béo có thể là 'thử thách' cho người bệnh thận. Chuyên gia hướng dẫn chế độ ăn, sinh hoạt và lưu ý để đón Tết an toàn, giảm nguy cơ biến chứng.
Chuyên gia cảnh báo: 80% ca ngộ độc dịp Tết đến từ những thực phẩm quen thuộc này
Bệnh thường gặpGĐXH - Theo thống kê nhiều năm, phần lớn các ca ngộ độc thực phẩm trong dịp Tết lại xuất phát từ những món ăn rất quen thuộc trong mâm cơm ngày xuân. Thời tiết lạnh, thức ăn chế biến sẵn để lâu, bảo quản không đúng cách cùng thói quen tụ tập ăn uống đông người khiến nguy cơ ngộ độc tăng cao, chỉ một sơ suất nhỏ cũng có thể khiến Tết mất vui, thậm chí phải nhập viện cấp cứu.