Người đàn ông 67 tuổi phát hiện ung thư phổi từ dấu hiệu nhiều người Việt mắc phải
GĐXH - Dù đến khám vì viêm dạ dày – trào ngược thực quản, một người đàn ông 67 tuổi bất ngờ được phát hiện ung thư phổi nhờ chỉ số CEA tăng rất cao.
CEA tăng vọt, nội soi không phát hiện ung thư tiêu hóa
Bệnh nhân V.N.P (67 tuổi) đến khám trong tình trạng viêm dạ dày – trào ngược thực quản. Ông có tiền sử cắt polyp trực tràng loạn sản độ thấp nên được chỉ định kiểm tra kỹ.
Trong quá trình thăm khám, PGS.TS Nguyễn Thị Vân Hồng – Giám đốc Trung tâm Tiêu hóa Medlatec phát hiện chỉ số CEA tăng rất cao (128 ng/mL), gợi ý nguy cơ bệnh lý ác tính.
Bệnh nhân được chỉ định nội soi tiêu hóa chuyên sâu. Tuy nhiên, kết quả mô bệnh học chỉ ghi nhận polyp tăng sản và u tuyến loạn sản độ thấp, không phát hiện ung thư đường tiêu hóa.
Trước tình trạng CEA tăng cao bất thường nhưng chưa tìm được nguyên nhân, các bác sĩ quyết định mở rộng tầm soát.

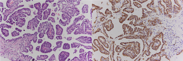
Kết quả mô bệnh học và hóa mô miễn dịch cho thấy đây là ung thư biểu mô tuyến nhú của phổi. Ảnh: BVCC
Phát hiện khối u phổi qua chụp CT liều thấp
Kết quả chụp CT phổi và lồng ngực liều thấp cho thấy khối u ở thùy trên phổi trái kèm hạch trung thất. Bệnh nhân được chuyển sang chuyên khoa Hô hấp để tiếp tục đánh giá.
Dưới sự chỉ đạo chuyên môn của PGS.TS Hoàng Thị Phượng – Chuyên khoa Hô hấp của bệnh viện cho biết, bệnh nhân được thực hiện sinh thiết khối u dưới hướng dẫn CT.
Kết quả mô bệnh học và hóa mô miễn dịch xác định đây là ung thư biểu mô tuyến nhú của phổi. Các tế bào u dương tính với TTF-1, Napsin A và CK7.
Đây là một phân nhóm hiếm của ung thư phổi không tế bào nhỏ, đặc trưng bởi cấu trúc nhú, khả năng xâm lấn và di căn cao. Tiên lượng bệnh phụ thuộc lớn vào việc phát hiện sớm và điều trị kịp thời.
Một số triệu chứng đặc trưng của bệnh ung thư phổi không tế bào nhỏ
Một số dấu hiệu cảnh báo ung thư phổi giai đoạn đầu bao gồm:
Ho kéo dài là triệu chứng phổ biến nhất có thể kéo dài vài tuần bao gồm ho đờm hoặc ho khan, dễ bị nhầm lẫn với ho do cảm cúm, dị ứng.
Ho ra máu, khạc ra máu màu đỏ bầm hoặc đỏ tươi.
Viêm phế quản/viêm phổi kéo dài, tái phát và không cải thiện với điều trị nội khoa.
Đau ngực thường xuyên ở vùng trước ngực, lưng, vai hoặc khi hít thở sâu.
Khó thở, hụt hơi hoặc không đủ sức khi thực hiện các hoạt động thường ngày.
Mệt mỏi, chán ăn, sụt cân.
Người phụ nữ 54 tuổi phát hiện bệnh tim nguy hiểm từ 1 dấu hiệu nhiều người Việt bỏ qua
Sống khỏe - 6 giờ trướcGĐXH - Chỉ từ triệu chứng tê bàn tay râm ran kéo dài, người phụ nữ bất ngờ được chẩn đoán mắc hẹp van hai lá nặng kèm rung nhĩ, nguy cơ gây đột quỵ và thuyên tắc huyết khối nếu không phát hiện sớm.
Trứng luộc có thực sự giúp giảm cân như lời đồn?
Sống khỏe - 7 giờ trướcTrứng luộc là lựa chọn quen thuộc trong thực đơn lành mạnh và giảm cân nhờ giàu dinh dưỡng, ít dầu mỡ. Nhưng liệu ăn trứng luộc có thực sự giúp giữ dáng hay vẫn tiềm ẩn nguy cơ tăng cân?
Cấp cứu cận Tết: Người đàn ông 57 tuổi ở Hà Nội chấn thương nặng ở tay do chặt thịt gà
Y tế - 11 giờ trướcGĐXH - Bệnh viện E vừa tiếp nhận một người bệnh nam, 57 tuổi, ở Hà Nội, nhập viện trong tình trạng chảy máu nhiều, bàn tay được băng tạm.
Tại sao phụ nữ thon gọn khi còn trẻ lại phát tướng khi bước vào tuổi trung niên: Không phải do ăn nhiều, thủ phạm thật sự là đây!
Sống khỏe - 1 ngày trướcGĐXH - Nhiều chị em bước sang tuổi trung niên thường ngỡ ngàng khi thấy vóc dáng thanh mảnh ngày nào bỗng chốc trở nên "đồ sộ", dù chế độ ăn vẫn không hề thay đổi. Tại sao mỡ lại "ưu ái" vùng bụng và lưng đến thế?
Uống rượu thuốc mua trên mạng, người đàn ông 60 tuổi nguy kịch vì ngộ độc cấp
Bệnh thường gặp - 1 ngày trướcGĐXH - Chỉ sau một chén rượu thuốc mua trên mạng, ông Bình (60 tuổi) rơi vào tình trạng ngộ độc rượu cấp với diễn tiến nặng, suýt rơi vào sốc và suy đa cơ quan.
Đột quỵ rất "sợ" 7 điều này: Đại học Y Harvard chỉ cách có được tất cả
Sống khỏe - 1 ngày trướcĐột quỵ không còn là căn bệnh “trời kêu ai nấy dạ”. Theo Đại học Y Harvard, nhiều nguy cơ có thể kiểm soát nếu thay đổi lối sống đúng cách.
Nam sinh viêm tụy cấp, mỡ máu cao gấp 47 lần thừa nhận một sai lầm nhiều bạn trẻ Việt mắc phải
Sống khỏe - 1 ngày trướcGĐXH - Chế độ ăn nhiều dầu mỡ, đồ ngọt và sinh hoạt đảo lộn khiến mỡ máu tăng gấp 47 lần bình thường khiến nam sinh phải nhập viện gấp vì suy thận cấp.
Loại bánh cung cấp năng lượng, sắt và một số vi chất có lợi cho cơ thể: Bác sĩ chỉ rõ nguy cơ khi ăn nhiều
Bệnh thường gặp - 1 ngày trướcGĐXH - Bánh dày làm từ gạo nếp cung cấp năng lượng, sắt và một số vi chất có lợi cho cơ thể. Tuy nhiên, theo khuyến cáo của bác sĩ, ăn bánh dày quá nhiều có thể gây đầy bụng, mất cân đối dinh dưỡng và làm tăng nguy cơ thừa cân, béo phì.
Kiểm soát đường huyết không chỉ nhờ thuốc: 4 loại trái cây có lợi như insulin tự nhiên
Sống khỏe - 1 ngày trướcKiểm soát đường huyết không đồng nghĩa với việc phải kiêng khem khắc nghiệt hay phụ thuộc hoàn toàn vào thuốc. Một số loại trái cây quen thuộc, nếu ăn đúng cách, có thể hỗ trợ ổn định đường huyết, được ví như “insulin tự nhiên” cho cơ thể.
Chuyên gia Nhật Bản giải mã: Những người sống trên 110 tuổi đều có chung đặc điểm 'vàng' này ở trong máu
Sống khỏe - 1 ngày trướcGĐXH - Tại một quốc gia có tuổi thọ trung bình hàng đầu thế giới như Nhật Bản, con số những người sống trên 100 tuổi không ngừng tăng lên mỗi năm. Điều gì đã tạo nên kỳ tích đó?
Tuổi thọ ngắn hay dài nhìn cách ngủ là biết: 5 đặc điểm ở người sống thọ, có 1 cũng đáng chúc mừng!
Sống khỏeGĐXH - Một giấc ngủ ngon không chỉ là liều thuốc phục hồi cơ thể mà còn là "chiếc gương" phản chiếu chính xác nhất tình trạng của hệ tim mạch, thần kinh và thận ở người cao tuổi.
