Người đàn ông 67 tuổi ở Hà Nội phát hiện ung thư phổi di căn từ dấu hiệu nhiều người Việt bỏ qua
GĐXH - Sau 3 tháng xuất hiện yếu nhẹ tay phải, người đàn ông 67 tuổi đi khám phát hiện ung thư phổi khi bệnh đã di căn não và nhiều cơ quan.
Phát hiện ung thư phổi di căn từ triệu chứng yếu nhẹ nửa người
Người đàn ông 67 tuổi ở Hà Nội đến khám tại Phòng khám Đa khoa Medlatec Tây Hồ trong tình trạng liệt nửa người phải, sau đó được phát hiện mắc ung thư phổi di căn.
Theo chia sẻ, khoảng 3 tháng trước, ông bắt đầu cảm thấy tay phải yếu nhẹ, khó thực hiện các động tác tinh vi như viết hay cầm đũa, bát. Do triệu chứng chưa ảnh hưởng nhiều đến sinh hoạt, người bệnh không đi kiểm tra.
Theo thời gian, tình trạng yếu lan xuống chân phải, tuy nhiên ông vẫn có thể đi lại. Khoảng 1 tháng gần đây, các biểu hiện trở nên rõ rệt hơn với đau đầu âm ỉ kéo dài, chóng mặt, mất thăng bằng.
Không chỉ vậy, người bệnh còn có dấu hiệu chậm chạp trong suy nghĩ, giao tiếp khó khăn, đôi lúc lú lẫn, kèm theo ăn uống kém và sụt cân không rõ nguyên nhân.

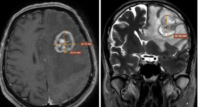
Chụp MRI sọ não có khối choán chỗ vùng thái dương - đỉnh trái, kích thước 32x33x32mm. Ảnh: BVCC
Phát hiện khối u não và ung thư phổi di căn
Tại phòng khám, bác sĩ ghi nhận bệnh nhân tỉnh táo nhưng phản ứng chậm, có biểu hiện lú lẫn nhẹ. Khám thần kinh cho thấy liệt nửa người phải, phản xạ bất thường – dấu hiệu gợi ý tổn thương não.
Kết quả chụp MRI phát hiện một khối u lớn vùng thái dương – đỉnh trái, kích thước khoảng 32 mm, kèm nhiều tổn thương rải rác ở cả hai bán cầu não và màng não. Tình trạng phù não lan rộng, gây chèn ép và đẩy lệch đường giữa gần 8 mm – dấu hiệu nguy hiểm có thể đe dọa tính mạng.
Từ các kết quả lâm sàng và cận lâm sàng, bác sĩ chẩn đoán bệnh nhân mắc ung thư phổi di căn đa cơ quan (não, phổi đối bên, hạch ổ bụng) trên nền viêm gan B mạn tính.
Điều này cho thấy khối u nguyên phát nhiều khả năng xuất phát từ phổi, sau đó lan rộng đến não – nguyên nhân trực tiếp gây ra tình trạng yếu liệt và rối loạn nhận thức.
Ung thư phổi – nguyên nhân hàng đầu gây di căn não
Theo các chuyên gia, ung thư phổi là nguyên nhân phổ biến nhất gây di căn não, chiếm khoảng 40–50% các trường hợp.
So với các loại ung thư khác như ung thư vú, u hắc tố hay ung thư thận, ung thư phổi có xu hướng di căn sớm và đa ổ, đặc biệt nguy hiểm khi lan đến não.
Đáng lo ngại, bệnh thường tiến triển âm thầm ở giai đoạn đầu, ít triệu chứng rõ ràng. Khi xuất hiện các dấu hiệu thần kinh như đau đầu, yếu liệt, rối loạn ý thức, bệnh thường đã ở giai đoạn muộn, việc điều trị gặp nhiều khó khăn.

Ảnh minh họa.
Dấu hiệu cảnh báo ung thư phổi: Đừng chủ quan với dấu hiệu thần kinh kéo dài
Qua trường hợp này, bác sĩ khuyến cáo người dân không nên xem nhẹ các triệu chứng như yếu tay, khó cầm nắm, đau đầu kéo dài hoặc rối loạn thăng bằng, dù mức độ nhẹ.
Đây có thể là dấu hiệu sớm của các bệnh lý nghiêm trọng, đặc biệt là tổn thương não hoặc ung thư di căn.
Việc thăm khám sớm, thực hiện các xét nghiệm và chẩn đoán hình ảnh kịp thời sẽ giúp phát hiện bệnh ở giai đoạn sớm hơn, từ đó nâng cao hiệu quả điều trị và cải thiện tiên lượng sống cho người bệnh.
Phương pháp phòng ngừa ung thư phổi hiệu quả
Để phòng ngừa bệnh ung thư nói chung và ung thư phổi nói riệng, bạn có thể tham khảo một số gợi ý dưới đây:
- Bỏ thuốc lá, tránh hết mức việc hút thuốc thụ động;
- Hạn chế hết mức sự tiếp xúc với các hóa chất độc hại, radon, các chất phóng xạ;
- Tập thể dục thường xuyên;
- Định kỳ kiểm tra sức khỏe mỗi năm;
- Ăn nhiều trái cây, rau quả...
4 sai lầm khiến trẻ khó đạt chiều cao tối đa, nhiều cha mẹ Việt mắc phải
Sống khỏe - 13 giờ trướcGĐXH - Chiều cao lý tưởng không chỉ là yếu tố thẩm mỹ mà còn phản ánh rõ tình trạng sức khỏe của trẻ. Tuy nhiên, không ít phụ huynh đang mắc sai lầm khiến trẻ không phát triển hết tiềm năng.
Người làm văn phòng có nguy cơ sốc nhiệt cao hơn tưởng tượng
Sống khỏe - 18 giờ trướcGĐXH - Sốc nhiệt không chỉ là một hiện tượng của cơ thể con người, mà nó còn là một mối nguy hiểm tiềm tàng trong thời tiết nắng nóng, và đặc biệt dễ xảy ra ở người làm văn phòng.
Ăn gan lợn thế nào để bổ dưỡng mà không gây hại?
Sống khỏe - 21 giờ trướcGan lợn là thực phẩm giàu dinh dưỡng với hàm lượng sắt, vitamin A và protein cao. Tuy nhiên, việc ăn gan lợn quá thường xuyên hoặc chế biến không đúng cách cũng có thể làm tăng nguy cơ ảnh hưởng đến sức khỏe.
Từ 101kg xuống 67kg sau 9 tháng, nữ giáo viên thoát béo phì nhờ 1 lựa chọn bất ngờ
Sống khỏe - 21 giờ trướcGĐXH - Từng nặng 101kg, thất bại với ăn kiêng và suýt chọn hút mỡ, người phụ nữ 44 tuổi bất ngờ “lột xác” sau phẫu thuật thu nhỏ dạ dày, giảm 34kg và cải thiện sức khỏe rõ rệt.
Ngày Dinh dưỡng cộng đồng Việt Nam lần thứ 6: Đưa lối sống lành mạnh đến gần hơn với người dân
Y tế - 22 giờ trướcNgày Dinh dưỡng cộng đồng Việt Nam lần thứ 6 khai mạc trong không khí sôi động, rực rỡ sắc màu. Hàng nghìn người dân cùng 20 đội chơi tham gia các hoạt động vận động, khám tư vấn sức khỏe và trình diễn tập thể, lan tỏa tinh thần sống khỏe, năng động và gắn kết cộng đồng.
Người dân hào hứng khám sức khỏe miễn phí tại Ngày Dinh dưỡng cộng đồng Việt Nam lần 6
Y tế - 22 giờ trướcSKĐS - Hàng nghìn người dân TPHCM đã tham gia thăm khám, kiểm tra thể trạng và nhận tư vấn dinh dưỡng miễn phí từ các chuyên gia, bác sĩ tại Ngày Dinh dưỡng cộng đồng Việt Nam lần thứ 6 tại Dinh Thống Nhất.
Dấu hiệu cảnh báo ung thư trực tràng mà người trên 50 tuổi không nên bỏ qua
Bệnh thường gặp - 1 ngày trướcGĐXH - Người bệnh 74 tuổi nhập viện với dấu hiệu đi ngoài ra máu, đau bụng âm ỉ, được chẩn đoán ung thư trực tràng giai đoạn tiến triển.
5 dấu hiệu cảnh báo đường ruột "có vấn đề", điểm thứ 2 đặc biệt cần lưu ý
Sống khỏe - 1 ngày trướcGĐXH - Nhiều người thường nghĩ rằng đau bụng hay đầy hơi chỉ là vấn đề ăn uống thông thường. Tuy nhiên, theo các chuyên gia sức khỏe, đây đôi khi lại là tín hiệu cho thấy hệ vi sinh đường ruột đang mất cân bằng.
Mùa hè nên ăn trứng thế nào để không tăng cholesterol? Chuyên gia khuyến cáo cách ăn an toàn nhất
Sống khỏe - 1 ngày trướcGĐXH - Mùa hè nắng nóng, việc ăn trứng đúng cách và đúng lượng đóng vai trò quan trọng để phát huy lợi ích và hạn chế rủi ro.
Một dấu hiệu cảnh báo ung thư rất dễ nhận ra nhưng nhiều người bỏ qua
Sống khỏe - 1 ngày trướcGĐXH - Nhiều người cho rằng đổ mồ hôi khi ngủ chỉ đơn giản là do thời tiết nóng bức hoặc phòng ngủ bí khí. Tuy nhiên, các chuyên gia cảnh báo nếu tình trạng này xảy ra thường xuyên, mồ hôi ra nhiều bất thường đến mức phải thay quần áo hoặc ga giường giữa đêm thì đây có thể là dấu hiệu sức khỏe đáng lưu ý, thậm chí liên quan đến ung thư.
Loại quả nhiều người chê 'nhạt nhẽo' lại là kho dưỡng chất 'vàng' cho tim mạch và đôi mắt
Bệnh thường gặpGĐXH - Theo ThS.BS Nguyễn Vũ Bình, bí ngòi không chỉ là thực phẩm dễ chế biến mà còn chứa nhiều dưỡng chất có lợi cho cơ thể. Từ hỗ trợ thị lực, tăng cường sức khỏe tim mạch đến cải thiện tiêu hóa và bổ sung chất chống oxy hóa, bí ngòi được xem là lựa chọn tốt cho chế độ ăn uống lành mạnh hằng ngày.

