Hà Nội
23°C / 22-25°C
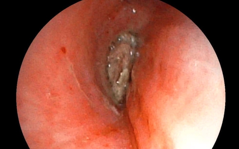
Cuộc chạy đua sinh tử cứu bé trai 5 tuổi nuốt đồng xu vào thực quản

Cuộc chạy đua sinh tử cứu bé trai 5 tuổi nuốt đồng xu vào thực quản

Mẹ và bé

GĐXH - Sau khi vô tình nuốt phải đồng xu, bé D. may mắn được gia đình phát hiện và đưa vào viện kịp thời.

Gặp tai nạn hi hữu, người đàn ông bị đinh sắt cắm sâu vào giữa cổ

Gặp tai nạn hi hữu, người đàn ông bị đinh sắt cắm sâu vào giữa cổ

Sống khỏe

GĐXH - Trong lúc căng dây cước để thi công công trình, sợi dây bất ngờ bật ngược khiến một chiếc đinh sắt văng mạnh và đâm xuyên vào cổ bệnh nhân.

Liên tiếp 2 người ở Phú Thọ bị thủng đường tiêu hóa, bác sĩ cảnh báo thói quen nguy hiểm nhiều người mắc phải

Liên tiếp 2 người ở Phú Thọ bị thủng đường tiêu hóa, bác sĩ cảnh báo thói quen nguy hiểm nhiều người mắc phải

Bệnh thường gặp

GĐXH - Các bác sĩ đã xử trí liên tiếp 2 trường hợp bị thủng đường tiêu hóa do dị vật, nhưng người bệnh không biết đã nuốt phải dị vật từ khi nào.

'Thủ phạm' khiến bé gái 7 tuổi gặp vấn đề ở vùng kín suốt gần 1 năm

'Thủ phạm' khiến bé gái 7 tuổi gặp vấn đề ở vùng kín suốt gần 1 năm

Y tế

GĐXH - Sau khi thăm khám, các bác sĩ phát hiện dị vật đã ăn sâu và dính chắc vào niêm mạc âm đạo của bệnh nhi, rất khó lấy ra bằng kỹ thuật thông thường.

Bé gái 6 tuổi đi viện do sợi dây chun buộc tóc

Bé gái 6 tuổi đi viện do sợi dây chun buộc tóc

Y tế

GĐXH - Theo các bác sĩ, trong tai bệnh nhi có dị vật là dây buộc tóc bằng cao su, nằm sát màng nhĩ. Nếu tiếp tục ngoáy sâu hoặc cố lấy tại nhà, nguy cơ thủng màng nhĩ là rất cao.

Cụ ông ở Hà Nội phải cắt thùy gan trái do thói quen sau khi ăn của nhiều người Việt

Cụ ông ở Hà Nội phải cắt thùy gan trái do thói quen sau khi ăn của nhiều người Việt

Y tế

GĐXH - Tại bệnh viện, kết quả chụp cắt lớp vi tính (CT scan) cho thấy, ổ áp xe tại thùy gan trái đã phát triển trên 10cm, bên trong có một dị vật mắc kẹt. Đây chính là nguyên nhân khiến bệnh nhân bị nhiễm trùng kéo dài.

Bé 8 tuổi nhập viện gấp sau khi ăn kẹo chocolate dạng bơm tiêm

Bé 8 tuổi nhập viện gấp sau khi ăn kẹo chocolate dạng bơm tiêm

Mẹ và bé

GĐXH - Bé trai 8 tuổi ngậm hút kẹo chocolate thì bị sặc đầu ống bơm tiêm vào miệng. Rất may bé được đưa đến BV Nhi Đồng 1 soi gắp dị vật kịp thời.

Người phụ nữ 37 tuổi đi cấp cứu sau khi nuốt hạt táo đỏ

Người phụ nữ 37 tuổi đi cấp cứu sau khi nuốt hạt táo đỏ

Y tế

GĐXH - Trong khi ăn yến chưng cùng táo đỏ, chị K vô tình nuốt luôn cả hạt táo. Sau đó, bệnh nhân đau bụng tăng dần nên được đưa đi cấp cứu.

Người đàn ông nuốt bật lửa, bút bi, tăm nhựa vào bụng

Người đàn ông nuốt bật lửa, bút bi, tăm nhựa vào bụng

Sống khỏe

GĐXH - Tại bệnh viện, bệnh nhân được phẫu thuật cấp cứu mở ruột non lấy dị vật (bút bi, ruột bút, tăm nhựa), cắt đoạn đại tràng Sigma bị dị vật xuyên thủng, đóng đầu dưới, đưa đầu trên ra ngoài ổ bụng làm hậu môn nhân tạo.

Bé gái 6 tuổi tự nhét đồ chơi trong 'túi mù' vào vùng kín

Bé gái 6 tuổi tự nhét đồ chơi trong 'túi mù' vào vùng kín

Sống khỏe

GĐXH - Sau khi hội chẩn, các bác sĩ quyết định nội soi âm đạo và thực hiện gắp dị vật cho bệnh nhi. Dị vật gắp ra là một đồ chơi trong túi mù, kích thước 13x12mm.

Bất ngờ phát hiện dị vật trú nhiều năm trong vùng kín bé gái 9 tuổi

Bất ngờ phát hiện dị vật trú nhiều năm trong vùng kín bé gái 9 tuổi

Mẹ và bé

GĐXH - Bệnh nhi nhập viện trong tình trạng âm đạo tiết dịch vàng, có mùi hôi. Các bác sĩ đã lấy ra dị vật là khối nhựa hình trụ, chiều dài gần 2cm lưu trú trong âm đạo của bệnh nhi nhiều năm nay.

Người đàn ông bị đinh sắt đâm thủng xương sọ khi đang làm việc

Người đàn ông bị đinh sắt đâm thủng xương sọ khi đang làm việc

Y tế

GĐXH – Bệnh nhân được đưa đến viện trong tình trạng vết thương vùng đầu chảy nhiều máu, đau nhiều, chụp cắt lớp vi tính sọ não có hình ảnh dị vật kim khí.

Bé gái 7 tuổi đi cấp cứu khẩn vì tai nạn hay gặp ở trẻ nhỏ

Bé gái 7 tuổi đi cấp cứu khẩn vì tai nạn hay gặp ở trẻ nhỏ

Sống khỏe

GĐXH – Theo các bác sĩ, dị vật đường tiêu hóa là cấp cứu hay gặp ở trẻ nhỏ, phần lớn không gây nguy hiểm. Tuy nhiên, trong một số trường hợp, trẻ nuốt phải dị vật có thể gặp phải biến chứng trước mắt hoặc về sau, thậm chí đe dọa đến tính mạng của trẻ.

Người phụ nữ 54 tuổi ở Hà Nội đi cấp cứu sau khi trải đệm ngủ dưới sàn nhà

Người phụ nữ 54 tuổi ở Hà Nội đi cấp cứu sau khi trải đệm ngủ dưới sàn nhà

Y tế

GĐXH - Trong khi ngủ, bà H bất ngờ nghe tiếng sột soạt, cảm giác đau nhói sâu bên trong tai. Dị vật lạ khiến bệnh nhân đau nhức, ngứa ngáy không ăn, không ngủ được.

Sinh viên Đại học Bách khoa phải ăn cơm thừa, có dị vật: Nhà trường xin lỗi

Sinh viên Đại học Bách khoa phải ăn cơm thừa, có dị vật: Nhà trường xin lỗi

Giáo dục

Liên quan đến sự việc sinh viên năm nhất Đại học Bách khoa Hà Nội phải ăn cơm canh thừa, thậm chí có nhiều dị vật bất thường trong tuần học giáo dục quốc phòng, phía nhà trường đã gửi lời xin lỗi.

Cho con uống thuốc mãi không khỏi, đi khám bất ngờ phát hiện 'thủ phạm' trong vùng kín của bé gái 6 tuổi

Cho con uống thuốc mãi không khỏi, đi khám bất ngờ phát hiện 'thủ phạm' trong vùng kín của bé gái 6 tuổi

Y tế

GĐXH - Được gia đình gặng hỏi, cháu bé kể có nhét một dị vật vào trong âm đạo khi ở trường.

Top