
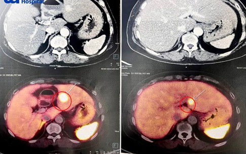
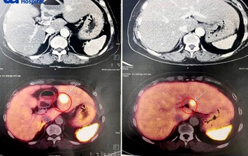
Mệt mỏi, sụt cân, người phụ nữ 65 tuổi đi khám phát hiện nổi u khắp người, tiến triển di căn gan
Bệnh thường gặpGĐXH - Điều đáng lo ngại nhất của người bệnh này là đa u tuyến nội tiết tiến triển đã di căn gan, tiên lượng còn rất dè dặt và cần theo dõi sát.

3 quy tắc sống còn cho người tăng huyết áp
Sống khỏeTăng huyết áp hay huyết áp cao bị coi là “kẻ giết người thầm lặng”, không có biểu hiện chỉ đến khi bệnh nhân xuất hiện suy tim, suy thận, đột quỵ.

Chia sẻ của bác sĩ 45 tuổi phải cấp cứu vì đột quỵ nhồi máu não: Nguyên nhân do làm việc quá sức và thường xuyên thức khuya
Bệnh thường gặpGĐXH - "Tôi năm nay 45 tuổi, hàng ngày điều trị nhồi máu não cho bệnh nhân, cuối cùng chính tôi cũng mắc bệnh này", bác sĩ chia sẻ.

Việc làm đơn giản trước 24 giờ giúp bảo vệ sức khỏe khi đi xem diễu binh A80
Sống khỏeCác sự kiện đông người tiềm ẩn nhiều rủi ro như kiệt sức, bệnh lý cấp tính, chen lấn hoặc ngạt khí. Việc chuẩn bị chu đáo sẽ giúp bảo vệ sức khỏe mỗi cá nhân trong những dịp này.

5 thời điểm ăn quả chà là tươi tốt nhất cho sức khỏe không phải ai cũng biết
Sống khỏeGĐXH - Chà là có nhiều đường tự nhiên và cũng chứa nhiều calo. Việc “cắn dọc ngọt, cắn ngang chát” của chà là tươi thực chất xuất phát từ cấu trúc sợi và phần nhựa bên trong quả.

Cô gái 33 tuổi ở Quảng Ninh thoát cơn đột quỵ xuất huyết não nhờ làm tốt điều này
Bệnh thường gặpGĐXH - Các bác sĩ đã quyết định nút túi phình mạch não kết hợp đặt stent để tránh nguy cơ vỡ gây đột quỵ xuất huyết não.

Top 10 rau củ quả mùa thu giúp gan khỏe, ăn đúng cách giảm nguy cơ bệnh tim mạch, đột quỵ
Sống khỏeGĐXH - Mùa thu chính là mùa của những loại rau củ quả vàng cho sức khỏe. Top 10 gợi ý dưới đây sẽ giúp gan thanh lọc tốt hơn, tim mạch khoẻ mạnh hơn.

Điều gì xảy ra với sức khỏe khi uống bia sau tập luyện trong 4 tuần?
Sống khỏeMột số thành phần trong bia có thể có lợi cho sức khỏe đường ruột nhưng bạn không nên uống bia ngay sau khi tập thể thao.

Thói quen luôn ăn một loại quả vào bữa sáng, tỷ phú 94 tuổi vẫn giữ được sức khỏe tốt và tinh thần minh mẫn
Sống khỏeGĐXH - Tỷ phú Morris Chang (94 tuổi - nhà sáng lập hãng sản xuất chất bán dẫn TSMC), dù tuổi cao ông vẫn giữ được sức khỏe tốt và tinh thần minh mẫn nhờ ăn đu đủ vào bữa sáng.

Đi xem diễu binh A80: Những lưu ý cực quan trọng để cả gia đình an toàn, khỏe mạnh
Sống khỏeGĐXH - Đi xem diễu binh dễ đối mặt nắng nóng, đông đúc, mất nước. Bỏ túi ngay mẹo bảo vệ sức khỏe để cả gia đình an toàn, trọn niềm vui.

Suy giãn tĩnh mạch: Đừng mắc sai lầm để phải chấp nhận sống chung với bệnh
Bệnh thường gặpGĐXH - Suy giãn tĩnh mạch nếu không điều trị kịp thời có thể khiến tĩnh mạch giãn rất lớn, gây ứ trệ tuần hoàn và rối loạn dinh dưỡng da, dẫn tới viêm loét, nhiễm trùng khó điều trị...

Ai có nguy cơ bị bệnh thận mạn tính và suy thận?
Sống khỏeGĐXH - Cần cảnh giác với các bệnh về thận nếu bạn thuộc nhóm người mắc bệnh đái tháo đường, tăng huyết áp, viêm cầu thận, bệnh di truyền như thận đa nang, lupus ban đỏ hệ thống...

Nam kỹ sư liệt tứ chi vì sai lầm khi nhậu cùng bạn
Y tếNam kỹ sư trẻ được người thân đưa đến viện trên băng ca với tình trạng liệt tứ chi, nẹp cổ và mất ngôn ngữ do tai nạn sau bữa nhậu với bạn.

Xúc động câu chuyện con trai 19 tuổi hiến một phần gan cứu bố
Y tếGĐXH - Cuối tháng 8, các bác sĩ Bệnh viện Trung ương Quân đội 108 đã thực hiện thành công 5 ca ghép gan từ người hiến sống, cứu sống. Trong đó xúc động nhất là câu chuyện chàng trai 19 tuổi hiến một phần gan cứu bố.

Người phụ nữ 61 tuổi bị u bàng quang từ dấu hiệu nhiều người hay chủ quan
Sống khỏeGĐXH - Do chủ quan với các dấu hiệu cảnh báo, bệnh nhân được đưa đến viện ở giai đoạn muộn, được chẩn đoán u bàng quang xâm lấn niệu quản.

Uống cà phê sai cách: Thói quen tưởng vô hại nhưng âm thầm hủy hoại tim mạch
Bệnh thường gặpGĐXH - Nhiều người lạm dụng cà phê để tỉnh táo nhưng uống sai thời điểm, sai cách có thể làm tăng huyết áp, rối loạn nhịp tim và nguy cơ đột quỵ.

Hoại tử vô mạch: Ăn sai một món cũng khiến bệnh nặng hơn - danh sách thực phẩm nên và không nên dùng
Bệnh thường gặpGĐXH - Bác sĩ khuyến cáo người bị hoại tử vô mạch cần kiêng rượu bia, đồ chiên rán và tăng cường thực phẩm giàu canxi, omega-3 để hỗ trợ xương khớp.

Ăn đủ mà vẫn đói: Nam thanh niên 27 tuổi đi khám phát hiện hội chứng hiếm gặp
Bệnh thường gặpGĐXH - Dù ăn đủ 3 bữa/ngày, có ăn vặt thêm và có tập gym đều đặn, anh H. vẫn chỉ nặng 38kg. Nghĩ mình gầy do cơ địa, nhưng đi khám mới biết mình mắc hội chứng tiêu hóa hiếm gặp.

Người mắc bệnh xoang mũi cần làm gì để phòng ngừa tái phát?
Bệnh thường gặpGĐXH - Bệnh xoang mũi mặc dù không đe dọa trực tiếp đến tính mạng, nhưng nếu kéo dài sẽ ảnh hưởng nghiêm trọng đến chức năng thở, khứu giác và chất lượng cuộc sống.

Người đàn ông 58 tuổi bị ung thư tuyến giáp mắc sai lầm này khiến khối u tăng gấp 3
Bệnh thường gặpGĐXH - Các bác sĩ đã điều trị thành công cho bệnh nhân 58 tuổi bị ung thư tuyến giáp nhưng tự điều trị bằng thuốc nam khiến bướu tăng gấp ba, di căn hai bên hạch.

Cô gái 20 tuổi ở Quảng Ninh nhập viện vì sai lầm khi đeo kính áp tròng
Y tếGĐXH - Sau 4 năm thường xuyên đeo kính áp tròng cả ngày, chỉ tháo ra khi ngủ, bệnh nhân được chẩn đoán loét giác mạc.

Đừng bỏ qua những thay đổi trên da: Lời cảnh báo sớm của cơ thể về viêm mao mạch hoại tử
Bệnh thường gặpGĐXH - Từ những chấm đỏ nhỏ đến loét da khó lành, cơ thể luôn có cách báo động về viêm mao mạch hoại tử. Nhận biết sớm là chìa khóa để bảo vệ sức khỏe.

5 tư thế ngủ tốt nhất giúp bảo vệ cột sống
Sống khỏeTư thế ngủ không chỉ ảnh hưởng đến chất lượng giấc ngủ mà còn tác động trực tiếp đến sức khỏe cột sống. Ngủ đúng tư thế giúp giảm áp lực lên lưng, hạn chế cứng khớp và hỗ trợ quá trình phục hồi tự nhiên của cơ thể, từ đó duy trì cột sống khỏe mạnh...

'Ngược quy trình' cứu 3 mẹ con sản phụ bị sa dây rốn nguy hiểm
Sống khỏeGĐXH - Các bác sĩ nhận định, đây là một trường hợp rất nguy cấp, nguy cơ tử vong cho thai nhi rất cao nên sản phụ được đưa thẳng vào phòng mổ, bỏ qua thủ tục giấy tờ.

Bất ngờ với biểu hiện của viêm mao mạch hoại tử: Căn bệnh hiếm nhưng ai cũng có nguy cơ mắc
Bệnh thường gặpGĐXH - Viêm mao mạch hoại tử là bệnh tự miễn hiếm gặp, nguyên nhân liên quan đến nhiễm khuẩn, stress và miễn dịch, với biểu hiện dễ bị bỏ qua.

2 người phụ nữ liệt toàn thân sau khi làm đẹp bằng botox tại nhà
Sống khỏeGĐXH – Sau khi được tiêm botox làm đẹp, các bệnh nhân cùng có biểu hiện yếu cơ, yếu tay chân sau đó liệt toàn thân, phải phụ thuộc chăm sóc của người khác.

Tại sao chân bạn ngày càng yếu đi? Cảnh báo dấu hiệu sớm của 4 căn bệnh nguy hiểm!
Bệnh thường gặpGĐXH - Hai chân như "đeo chì" khi đi bộ, leo cầu thang ngày càng khó khăn, nhiều người thường đổ lỗi cho tuổi già. Nhưng có thể bạn không biết, đôi chân yếu ớt đằng sau đó có thể ẩn chứa những cảnh báo về sức khỏe.

Đau bụng dữ dội khi mang thai, người phụ nữ được phát hiện mắc viêm tụy cấp
Y tếGĐXH - Theo các bác sĩ, viêm tụy cấp do triglycerid tăng quá cao có thể dẫn đến sốc, suy đa tạng, tắc mạch.., ảnh hưởng đến tính mạng của người bệnh và thai nhi.

Bé trai 13 tuổi tử vong sau khi ăn mì ăn liền sống: Chỉ nên ăn mì gói thường xuyên khi biết điều này!
Bệnh thường gặpGĐXH - Khoảng nửa giờ sau khi ăn liền 3 gói mì ăn liền sống, trẻ xuất hiện các triệu chứng như đau bụng dữ dội, toát mồ hôi và nôn mửa rồi qua đời.

Mệt mỏi, sụt cân, người phụ nữ 65 tuổi đi khám phát hiện nổi u khắp người, tiến triển di căn gan
Bệnh thường gặpGĐXH - Điều đáng lo ngại nhất của người bệnh này là đa u tuyến nội tiết tiến triển đã di căn gan, tiên lượng còn rất dè dặt và cần theo dõi sát.

7 loại thực phẩm cần tránh khi bị sốt xuất huyết: Ăn vào cơ thể dễ mệt mỏi, hồi phục chậm
Bệnh thường gặpGĐXH - Sốt xuất huyết khiến cơ thể mệt mỏi, ăn sai thực phẩm sẽ chậm hồi phục. Xem ngay 7 loại thực phẩm cần tránh để mau khỏe lại.
Kịp thời cứu sống bé sơ sinh mắc tim bẩm sinh phức tạp nhờ phát hiện từ trong bào thai
Mẹ và béGĐXH - Nhờ được phát hiện sớm từ giai đoạn bào thai nên các bác sĩ đã lập kế hoạch sinh, huy động đội ngũ can thiệp tim mạch tại chỗ cho em bé ngay khi chào đời.


Phẫu thuật cứu sản phụ 45 tuổi bị vỡ u xơ tử cung hiếm gặp khi mang thai 29 tuần ở Ninh Bình
Y tếGĐXH - Các bác sĩ Bệnh viện Sản Nhi Ninh Bình bảo tồn tử cung, cứu sống mẹ con sản phụ trong ca bệnh hiếm gặp có tỉ lệ dưới 1% trên thế giới..

Người đàn ông bị bỏng nặng, nguy kịch khi giữ thang cho hàng xóm sửa điện
Y tếGĐXH - Bệnh nhân không trực tiếp chạm vào dây điện mà chỉ giữ thang cho hàng xóm sửa điện tại khu vực chuồng gà. Khi đó, nguồn điện tổng chưa được ngắt, bệnh nhân cũng không mặc đồ bảo hộ.